Pathology of esophageal cancer and Barrett's esophagus
- PMID: 28446998
- PMCID: PMC5387146
- DOI: 10.21037/acs.2017.03.06
Pathology of esophageal cancer and Barrett's esophagus
Abstract
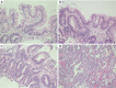
Esophageal cancer is a serious malignancy with high mortality. The two common distinctive pathologic subtypes of esophageal cancer are squamous cell carcinoma and adenocarcinoma. These differ with regards to etiology, ethnic distribution, pathogenesis, and location in the esophagus. The precursor lesions are also unique to each subtype. Squamous cell carcinoma is more common in East Asia, is linked to smoking and tobacco use, more commonly involves the middle esophagus, and the precursor lesion is squamous dysplasia. Adenocarcinoma is more common in the United States and certain European countries, associated with obesity and gastroesophageal reflux disease (GERD), more commonly involves the distal esophagus, and the precursor lesion is Barrett's esophagus. Endoscopic surveillance with biopsy evaluation is the standard of care in high-risk groups. Endoscopic ablative therapies for early cancers have lower morbidity than surgery. Despite increased awareness, identification of high-risk groups and endoscopic surveillance, a large proportion of patients present with advanced cancers. Surgery and chemoradiation, either in neo-adjuvant or adjuvant setting, is the usual treatment for patients with advanced but resectable esophageal cancers. The prognosis and further management largely depends upon the pathologic tumor-node-metastasis (TNM) staging provided by the American Joint Committee on Cancer (AJCC) and the International Union against Cancer. Currently, the 7th edition of TNM staging system is being applied for prognostication and this is more focused on pathologic evaluation. Eighth edition of AJCC/UICC TNM staging has been introduced and will be implemented for clinical use in 2018.
Keywords: Barrett’s esophagus; Esophagus; adenocarcinoma; carcinoma; squamous cell carcinoma.
Conflict of interest statement
Conflicts of Interest: The authors have no conflicts of interest to declare.
Figures





References
-
- SEER Cancer Statistics Factsheets: Esophageal Cancer. National Cancer Institute. Bethesda, MD. Available online: http://seer.cancer.gov/statfacts/html/esoph.html
Publication types
LinkOut - more resources
Full Text Sources
Other Literature Sources