Congenital unilateral diaphragmatic eventration in an adult: A rare case presentation
- PMID: 28448861
- PMCID: PMC5406523
- DOI: 10.1016/j.ijscr.2017.04.010
Congenital unilateral diaphragmatic eventration in an adult: A rare case presentation
Abstract
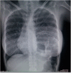
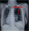
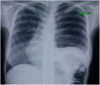
We present a rare case of 32year old female with congenital diaphragmatic eventeration female presenting in an adult. She had symptoms of intermittent dyspnea and occasional epigastric discomfort. Patient had no previous history of trauma. Physical examination showed bowel sound involving the left hemithorax. Imaging modalities confirmed the diagnosis of a congenital left diaphragmatic eventeration. Patient underwent plication of the diaphragm using the abdominal approach. Intra-operatively, the left diaphragm was attenuated. Plication was done with 1st layer of imbricating silk heavy sutures buttressed by a second layer of interrupted absorbable sutures. She post-operatively had atelectasis on the left lung. Incentive spirometry and deep breathing exercises were started with resolution of the atelectasis after 1 week post-operatively. Patient had an unremarkable post-operative stay with resolution of symptoms. There are reports that diaphragmatic eventration diagnosed even as late 70 years old, highlighting the dogma that this is an asymptomatic disorder does not need all the time surgical therapy. But we still recommend surgical therapy as soon as diagnosis is confirmed. In this patient, there was no recurrence of symptoms after a follow-up of 2 years. Whether surgery indeed improved lung functions in these vastly asymptomatic patients, these questions could be an active area of research in the long term outcomes of these patients.
Keywords: Atelectasis; Diaphragmatic exenteration; Diaphragmatic plication.
Copyright © 2017. Published by Elsevier Ltd.
Figures










References
-
- Pathak S., Page R. Splenic injury following diaphragmatic plication; an avoidable life threatening complication. Interact. Cardiovasc. Thorac. Surg. 2009:1045–1046. http://icvts.oxfordjournals.org/content/9/6/1045. full.pdf Retrieved from. - PubMed
-
- Srikrishna M.R., Ravishankar N.R., Raghavan J., Natarajan M.K. Surgical repair of congenital diaphragmatic eventration in a septugerian lady. Braz. J. Cardiovasc. Surg. 2010;25(1):115–117. - PubMed
LinkOut - more resources
Full Text Sources
Other Literature Sources