Skip to main page content
U.S. flag

An official website of the United States government

Dot gov

The .gov means it’s official.
Federal government websites often end in .gov or .mil. Before sharing sensitive information, make sure you’re on a federal government site.

Https

The site is secure.
The https:// ensures that you are connecting to the official website and that any information you provide is encrypted and transmitted securely.

Access keys NCBI Homepage MyNCBI Homepage Main Content Main Navigation
Case Reports
. 2017 Mar 26;9(3):e1119.
doi: 10.7759/cureus.1119.

T-Cell/Histiocyte-Rich Large B-Cell Lymphoma Presented as T-Lymphoid Hyperplasia Involving the Central Nervous System

Affiliations
Case Reports

T-Cell/Histiocyte-Rich Large B-Cell Lymphoma Presented as T-Lymphoid Hyperplasia Involving the Central Nervous System

Mayumi Kubota et al. Cureus. .

Abstract

We herein report a case of T-cell/histiocyte-rich large B-cell lymphoma which initially presented as a self-limiting T-lymphoproliferative disorder involving multiple extranodal and extrapulmonary organs, such as the salivary gland, the liver, and the central nervous system. Repeated biopsies only revealed polyclonal T-lymphocytosis without the presence of atypical B-cells. Angiocentric cellular infiltration was absent, thus ruling out lymphomatoid granulomatosis. A recurrence in the lymphatic system finally revealed a small population of pathognomonic atypical B-cells, which led to the diagnosis. The clinical dilemma in the diagnosis and management of this indeterminate condition points to limitations in the current nosology.

Keywords: lymphomatoid granulomatosis; lymphoproliferative disorders; secondary cns lymphoma; t-cell hyperplasia.

PubMed Disclaimer

Conflict of interest statement

The authors have declared that no competing interests exist.

Figures

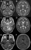
Figure 1
Figure 1. Brain magnetic resonance imaging of the patient.
A-B, T2-weighed imaging at initial presentation: (A) Hyperintense signal in the bilateral cerebellar hemispheres; (B) Hyperintensity noted in the bilateral thalamus and bioccipital subcortex; C-F, T2-weighted imaging and T1-weighted imaging with gadolinium enhancement immediately before brain biopsy; (C) Hyperintense lesions noted in the pons and the left side of the cerebellum; (D) Progression of the lesion of the thalamus on the right; (E) Ring-enhancing lesion of the cerebellum; (F) Ring-enhancing lesion of the thalamus.
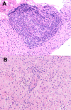
Figure 2
Figure 2. Pathological features of the lesion.
(A) Hematoxylin-eosin staining of the brain biopsy specimens revealed proliferation and infiltration of small lymphocytes. (B) The blood vessel shown here is surrounded by lymphocytes. Note that the vessel walls are intact.
Figure 3
Figure 3. Findings from the lymph node specimen, and the follow-up CNS imaging.
(A) Flow-cytometry data summarized on a radar chart. The specimens from the parotid gland, the brain, and the cervical lymph node each demonstrated proliferation of the T-cell lineage. (B) Large atypical cells are distributed sparsely against a background of lymph proliferation. (Cervical lymph node, hematoxylin-eosin stain, x 40). (C) magnetic resonance imaging after chemotherapy showed remarkable regression of the lesions.

References

    1. Kumar V, Abbas AK, Fausto N. Philadelphia, PA: Elsevier Saunders; 2005. Robbins and Cotran Pathological Basis of Disease, 7th ed.
    1. Resolution of EBV(+) CNS lymphoma with appearance of CSF EBV-specific T cells. de Beukelaar JW, van Arkel C, van den Bent MJ, et al. Ann Neurol. 2005;58:788–792. - PubMed
    1. Recognition of a ubiquitous self antigen by prostate cancer-infiltrating CD8+ T lymphocytes. Savage PA, Vosseller K, Kang C, et al. Science. 2008;319:215–220. - PubMed
    1. A case series of primary central nervous system posttransplantation lymphoproliferative disorder: imaging and clinical characteristics. Lake W, Chang JE, Kennedy T, et al. Neurosurgery. 2013;72:960–970. - PMC - PubMed
    1. The 2008 WHO classification of lymphoid neoplasms and beyond: evolving concepts and practical applications. Campo E, Swerdlow SH, Harris NL, et al. http://www.bloodjournal.org/content/117/19/5019.long?sso-checked=true. Blood. 2011;117:5019–5032. - PMC - PubMed

Publication types

LinkOut - more resources