Hepatic Lesions that Mimic Metastasis on Radiological Imaging during Chemotherapy for Gastrointestinal Malignancy: Recent Updates
- PMID: 28458594
- PMCID: PMC5390611
- DOI: 10.3348/kjr.2017.18.3.413
Hepatic Lesions that Mimic Metastasis on Radiological Imaging during Chemotherapy for Gastrointestinal Malignancy: Recent Updates
Abstract
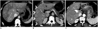
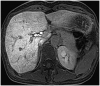
During chemotherapy in patients with gastrointestinal malignancy, the hepatic lesions may occur as chemotherapy-induced lesions or tumor-associated lesions, with exceptions for infectious conditions and other incidentalomas. Focal hepatic lesions arising from chemotherapy-induced hepatopathies (such as chemotherapy-induced sinusoidal injury and steatosis) and tumor-associated eosinophilic abscess should be considered a mimicker of metastasis in patients with gastrointestinal malignancy. Accumulating evidence suggests that chemotherapy for gastrointestinal malignancy in the liver has roles in both the therapeutic effects for hepatic metastasis and injury to the non-tumor bearing hepatic parenchyma. In this article, we reviewed the updated concept of chemotherapy-induced hepatopathies and tumor-associated eosinophilic abscess in the liver, focusing on the pathological and radiological findings. Awareness of the causative chemo-agent, pathophysiology, and characteristic imaging findings of these mimickers is critical for accurate diagnosis and avoidance of unnecessary exposure of the patient to invasive tissue-based diagnosis and operations.
Keywords: Chemotherapy-induced focal hepatopathy; Oxaliplatin; Peliosis; Sinusoidal obstructive syndrome; Steatohepatitis; Steatosis.
Figures









References
-
- Han NY, Park BJ, Sung DJ, Kim MJ, Cho SB, Lee CH, et al. Chemotherapy-induced focal hepatopathy in patients with gastrointestinal malignancy: gadoxetic acid--enhanced and diffusion-weighted MR imaging with clinical-pathologic correlation. Radiology. 2014;271:416–425. - PubMed
-
- Zhou B, Yan S, Zheng S. Peliosis hepatis: a mimicker of hepatic tumors. Surg Pract. 2013;7:124–126.
-
- Arakawa Y, Shimada M, Utsunomya T, Imura S, Morine Y, Ikemoto T, et al. Oxaliplatin-related sinusoidal obstruction syndrome mimicking metastatic liver tumors. Hepatol Res. 2013;43:685–689. - PubMed
-
- Kim MJ, Kim HJ, Yi BH, Kim HK, Yun J, Kim SH, et al. A case of peliosis hepatis mimicking metastatic lesions of increasing size. Soonchunhyang Med Sci. 2012;18:141–144.
Publication types
MeSH terms
LinkOut - more resources
Full Text Sources
Other Literature Sources
Medical