ARMC5 mutation in a Portuguese family with primary bilateral macronodular adrenal hyperplasia (PBMAH)
- PMID: 28458897
- PMCID: PMC5404469
- DOI: 10.1530/EDM-16-0135
ARMC5 mutation in a Portuguese family with primary bilateral macronodular adrenal hyperplasia (PBMAH)
Abstract
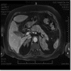
Summary: PBMAH is a rare etiology of Cushing syndrome (CS). Familial clustering suggested a genetic cause that was recently confirmed, after identification of inactivating germline mutations in armadillo repeat-containing 5 (ARMC5) gene. A 70-year-old female patient was admitted due to left femoral neck fracture in May 2014, in Orthopedics Department. During hospitalization, hypertension (HTA) and hypokalemia were diagnosed. She presented with clinical signs of hypercortisolism and was transferred to the Endocrinology ward for suspected CS. Laboratory workup revealed: ACTH <5 pg/mL; urinary free cortisol (UFC), 532 µg/24 h (normal range: 20-90); failure to suppress the low-dose dexamethasone test (0.5 mg every 6 h for 48 h): cortisol 21 µg/dL. Abdominal magnetic resonance imaging (MRI) showed enlarged nodular adrenals (right, 55 × 54 × 30 mm; left, 85 × 53 × 35 mm), and she was submitted to bilateral adrenalectomy. In 2006, this patient's 39-year-old daughter had been treated by one of the authors. She presented with severe clinical and biological hypercortisolism. Computed tomography (CT) scan showed massively enlarged nodular adrenals with maximal axis of 15 cm for both. Bilateral adrenalectomy was performed. In this familial context of PBMAH, genetic study was performed. Leucocyte DNA genotyping identified in both patients the same germline heterozygous ARMC5 mutation in exon 1 c.172_173insA p.I58Nfs*45. The clinical cases herein described have an identical phenotype with severe hypercortisolism and huge adrenal glands, but different ages at the time of diagnosis. Current knowledge of inheritance of this disease, its insidious nature and the well-known deleterious effect of hypercortisolism favor genetic study to timely identify and treat these patients.
Learning points: PBMAH is a rare etiology of CS, characterized by functioning adrenal macronodules and variable cortisol secretion.The asymmetric/asynchronous involvement of only one adrenal gland can also occur, making disease diagnosis a challenge.Familial clustering suggests a genetic cause that was recently confirmed, after identification of inactivating germline mutations in armadillo repeat-containing 5 (ARMC5) gene.The insidious nature of this disease and the well-known deleterious effect of hypercortisolism favor genetic study of other family members, to diagnose and treat these patients timely.As ARMC5 is expressed in many organs and recent findings suggest an association of PBMAH and meningioma, a watchful follow-up is required.
Figures







References
-
- Alencar GA, Lerario AM, Nishi MY, Mariani BM, Almeida MQ, Tremblay J, Hamet P, Bourdeau I, Zerbini MC, Pereira MA, et al. 2014. ARMC5 mutations are a frequent cause of primary macronodular adrenal Hyperplasia. Journal of Clinical Endocrinology and Metabolism 99 1501–1509. (10.1210/jc.2013-4237) - DOI - PubMed
LinkOut - more resources
Full Text Sources
Other Literature Sources