Skip to main page content
U.S. flag

An official website of the United States government

Dot gov

The .gov means it’s official.
Federal government websites often end in .gov or .mil. Before sharing sensitive information, make sure you’re on a federal government site.

Https

The site is secure.
The https:// ensures that you are connecting to the official website and that any information you provide is encrypted and transmitted securely.

Access keys NCBI Homepage MyNCBI Homepage Main Content Main Navigation
Review
. 2015 Jan-Mar;25(1):9-18.
doi: 10.4103/2211-4122.158418.

The Role of Multimodality Cardiac Imaging for the Assessment of Sports Eligibility in Patients with Bicuspid Aortic Valve

Affiliations
Review

The Role of Multimodality Cardiac Imaging for the Assessment of Sports Eligibility in Patients with Bicuspid Aortic Valve

Antonello D'Andrea et al. J Cardiovasc Echogr. 2015 Jan-Mar.

Abstract

Bicuspid aortic valve (BAV) cannot be considered an innocent finding, but it is not necessarily a life-threatening condition. Athletes with BAV should undergo a thorough staging of the valve anatomy, taking into consideration hemodynamic factors, as well as aortic diameters and looking for other associated significant cardiovascular anomalies by use of a multimodality cardiac imaging approach. Furthermore an accurate follow-up is mandatory with serial cardiological controls in those allowed to continue sports.

Keywords: Athlete's heart; bicuspid aortic valve; cardiac magnetic resonance; computed tomography; echocardiography; endurance; multimodality imaging; power; sports training.

PubMed Disclaimer

Conflict of interest statement

Conflict of Interest: None declared.

Figures

Figure 1
Figure 1
Anatomic classification of bicuspid aortic valve (BAV). L = Left, R = Right, N = Noncoronary, lat = Lateral, ap = Anteroposterior
Figure 2
Figure 2
Transthoracic echocardiography in uncomplicated type 1 BAV. Aortic short-axis view (a), mild aortic regurgitation (b), normal ascending aorta diameters (c), and absence of significant aortic stenosis (d)
Figure 3
Figure 3
Transthoracic and transesophageal echocardiography in complicated type 1 BAV. Aortic short-axis view (a), parasternal long-axis view with ascending aorta aneurism (b), and three-dimensional reconstruction of aortic valve (c-d)
Figure 4
Figure 4
Aortic computed tomography in complicated type 1 BAV. Aortic short-axis view (a), and long-axis (b) with ascending aorta aneurism
Figure 5
Figure 5
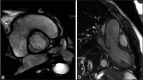
Aortic magnetic resonance in uncomplicated type 1 BAV. Aortic short-axis view (a), and long-axis (b) with mild eccentric regurgitation jet
Figure 6
Figure 6
Aortic magnetic resonance in type 1 BAV with complete (a) and uncomplete (b) raphe

References

    1. Osler W. The bicuspid condition of the aortic valve. Trans Assoc Am Physicians. 1886;2:185–92.
    1. Roberts WC. The congenitally bicuspid aortic valve. A study of 85 autopsy cases. Am J Cardiol. 1970;26:72–83. - PubMed
    1. Ward C. Clinical significance of the bicuspid aortic valve. Heart. 2000;83:81–5. - PMC - PubMed
    1. Larson EW, Edwards WD. Risk factors for aortic dissection: A necropsy study of 161 cases. Am J Cardiol. 1984;53:849–55. - PubMed
    1. Basso C, Boschello M, Perrone C, Mecenero A, Cera A, Bicego D, et al. An echocardiographic survey of primary school children for bicuspid aortic valve. Am J Cardiol. 2004;93:661–3. - PubMed

LinkOut - more resources