Primary hypertrophic osteoarthropathy due to a novel SLCO2A1 mutation masquerading as acromegaly
- PMID: 28469926
- PMCID: PMC5409938
- DOI: 10.1530/EDM-17-0013
Primary hypertrophic osteoarthropathy due to a novel SLCO2A1 mutation masquerading as acromegaly
Abstract
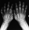
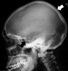
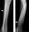
Summary: A 20-year-old man with an 8-year history of progressive enlargement of his hands and feet, coarsening facial features, painful joints and thickened, oily skin was referred for investigation of acromegaly. On examination, the subject was of normal height and weight. He had markedly increased skin thickness around the forehead, eyelids and scalp with redundant skin folds. Bilateral painful knee swelling was accompanied by enlargement of the extremities, and his fingers were markedly clubbed. Routine hematological, biochemical and hormonal blood tests, including GH and IGF-1 were normal. The clinical picture suggested primary hypertrophic osteoarthropathy (PHOA) rather than acromegaly and radiological studies were supportive of this, demonstrating increased subperiosteal bone formation and increased bone density and cortical thickening. There was widespread joint disease, with narrowing of joint spaces, whereas the knees demonstrated effusions and calcification. A skull X-ray revealed calvarial hyperostosis and a normal sellar outline. Family history was negative. Genetic studies were performed on peripheral blood leukocyte DNA for mutations in the two genes associated with PHOA, 15-hydroxyprostaglandin dehydrogenase (HPGD; OMIM: 601688) and solute carrier organic anion transporter family member 2A1 (SLCO2A1; OMIM: 601460). The sequence of HPGD was normal, whereas the subject was homozygous for a novel pathological variant in SLCO2A1, c.830delT, that predicted a frameshift and early protein truncation (p.Phe277Serfs*8). PHOA, also known as pachydermoperiostosis, is a rare entity caused by abnormal prostaglandin E2 metabolism, and both HPGD and SLCO2A1 are necessary for normal prostaglandin E2 handling. High prostaglandin levels lead to bone formation and resorption and connective tissue inflammation causing arthropathy, in addition to soft tissue swelling.
Learning points: The differential diagnosis of enlarged extremities, coarsened facial features, skin changes and increased sweating in suspected acromegaly is quite limited and primary hypertrophic osteoarthropathy (PHOA) is one of the few conditions that can mimic acromegaly at presentation.PHOA is not associated with abnormalities in GH and IGF-1 secretion and can be readily differentiated from acromegaly by hormonal testing.Clubbing in the setting of diffuse enlargement of joints and extremities in addition to skin changes should alert the physician to the possibility of PHOA, as clubbing is not a usual feature of acromegaly. Underlying causes of secondary hypertrophic osteoarthroapthy (e.g. bronchial neoplasia) should be considered.PHOA is a very rare condition caused by abnormalities in prostaglandin metabolism and has two known genetic causes (HPGD and SLCO2A1 mutations). SLCO2A1 gene mutations lead usually to autosomal recessive PHOA; fewer than 50 SLCO2A1 mutations have been described to date and the current case is only the second in a Hispanic patient.Treatment of primary hypertrophic osteoarthropathy is focused on the management of joint pain usually in the form of non-steroidal anti-inflammatory drug therapy.
Figures
References
-
- Carneiro M, Hernandez D, Montes de Oca I, Sanchez J, Castillo E, Serrao M, Gianonni M. 1998. Paquidermoperiostosis (Osteoartropatia Hipertrófica Primaria). Presentación de un caso y revisión de la literatura. Gaceta Medica Caracas 106 540–548.
-
- Friedreich N. 1868. Hyperostose des gessamten Skelletes. Archiv für Pathologische Anatomie und Physiologie und für Klinische Medicin 43 83 (10.1007/bf02117271) - DOI
LinkOut - more resources
Full Text Sources
Other Literature Sources
Miscellaneous
