Zoon's balanitis treated with topical tacrolimus
- PMID: 28479782
- PMCID: PMC5405674
- DOI: 10.4103/UA.UA_10_16
Zoon's balanitis treated with topical tacrolimus
Abstract
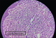
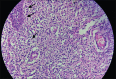
Zoon's balanitis is an asymptomatic lesion that requires histopathological examination of involved tissue for confirmation of diagnosis. Till today, circumcision is considered as the treatment of choice as topical medical therapy is insufficient to cure the disease and also there was a risk of recurrence after discontinuation of therapy. Herein, we have treated the Zoon's balanitis with 0.1% topical tacrolimus with complete resolution of the lesion in 6 weeks. Hence, we think topical tacrolimus therapy should be considered as an alternative to circumcision in the treatment of Zoon's balanitis.
Keywords: Circumcision; plasma cells; prepuce.
Conflict of interest statement
There are no conflicts of interest.
Figures





References
-
- Zoon JJ. Chronic benign circumscript plasmocytic balanoposthitis. Dermatologica. 1952;105:1–7. - PubMed
-
- Krishna Rao PV, Kumar Yadalla HK. Plasma cell balanitis (Zoon's Balanitis): A clinicopathological study of 8 cases. Our Dermatol Online. 2012;3:109–11.
-
- Jolly BB, Krishnamurty S, Vaidyanathan S. Zoon's balanitis. Urol Int. 1993;50:182–4. - PubMed
-
- Pastar Z, Rados J, Lipozencic J, Skerlev M, Loncaric D. Zoon plasma cell balanitis: An overview and role of histopathology. Acta Dermatovenerol Croat. 2004;12:268–73. - PubMed
Publication types
LinkOut - more resources
Full Text Sources
Other Literature Sources