Osteomyelitis of the Patella in a 10-Year-Old Girl: A Case Report and Review of the Literature
- PMID: 28484657
- PMCID: PMC5412139
- DOI: 10.1155/2017/6573271
Osteomyelitis of the Patella in a 10-Year-Old Girl: A Case Report and Review of the Literature
Abstract
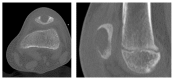
The incidence of osteomyelitis constantly declines. While the disease most commonly affects the long bones, involvement of the patella is rarely seen. Due to this rarity and the variable clinical presentation, diagnosis is often delayed. The present case report describes a 10-year-old female patient with a delayed diagnosis of patella osteomyelitis. The diagnostic procedures and the treatment regimen are described. Additionally, a detailed literature review of the available publications reporting osteomyelitis of the patella in children is presented.
Figures




References
-
- Thirion. Successful extirpation of the right patella for carieas. Lancet. 1829;2, article 399
-
- De Gheldere A. Haematogenous osteomyelitis of the patella in a child. Acta Orthopaedica Belgica. 2009;75(4):554–556. - PubMed
-
- Masuda S., Shinozaki T., Watanabe H., Takagishi K., Fukuda T. Acute osteomyelitis of the patella in a child. Japanese Journal of Rheumatology. 1999;9(2):189–194. doi: 10.1007/BF03041275. - DOI
Publication types
LinkOut - more resources
Full Text Sources
Other Literature Sources