Skip to main page content
U.S. flag

An official website of the United States government

Dot gov

The .gov means it’s official.
Federal government websites often end in .gov or .mil. Before sharing sensitive information, make sure you’re on a federal government site.

Https

The site is secure.
The https:// ensures that you are connecting to the official website and that any information you provide is encrypted and transmitted securely.

Access keys NCBI Homepage MyNCBI Homepage Main Content Main Navigation
Case Reports
. 2016 Nov 4;2(2):2055116916674871.
doi: 10.1177/2055116916674871. eCollection 2016 Jul-Dec.

Successful treatment of vaginal malakoplakia in a young cat

Affiliations
Case Reports

Successful treatment of vaginal malakoplakia in a young cat

Ryan P Cattin et al. JFMS Open Rep. .

Abstract

Case summary: A 3-year-old, female, spayed, domestic shorthair cat presented for dysuria and haematuria, unresponsive to antibiotic treatment. A small, fleshy, erythematous mass protruded from the vaginal vault. Ultrasound identified a vaginal mass effect with mixed echogenicity measuring in excess of 3 cm. Vaginoscopy confirmed an extensive, fleshy, irregular mass that was characterised histologically as pyogranulomatous vaginitis, with periodic acid-Schiff-positive macrophages containing gram-negative bacteria. Fluorescence in situ hybridisation analysis demonstrated invasive intracellular Escherichia coli. Vaginal malakoplakia was diagnosed. Tissue culture and antimicrobial susceptibility of E coli was used to guide treatment. A 6 week course of enrofloxacin 5 mg/kg q24h resulted in complete resolution of the mass and clinical signs.

Relevance and novel information: Malakoplakia is a rare chronic inflammatory condition that has been previously reported in the bladder of two cats. The pathogenesis of malakoplakia is thought to involve ineffective killing of bacteria (eg. E coli), similar to granulomatous colitis in Boxers and French Bulldogs. The literature on malakoplakia in cats is sparse. This is the first reported feline case with vaginal involvement, intracellular E coli and successful treatment with a fluoroquinolone. Malakoplakia is an important, non-neoplastic differential diagnosis when a mass is identified in the urogenital system of a young cat.

PubMed Disclaimer

Conflict of interest statement

Conflict of interest: The authors declared no potential conflicts of interest with respect to the research, authorship, and/or publication of this article.

Figures

Figure 1
Figure 1
Longitudinal view of the vaginal mass, with calipers demonstrating the craniocaudal extent of the lesion. White arrows indicate the location of the lesion
Figure 2
Figure 2
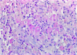
Pyogranulomatous inflammation composed predominantly of neutrophils and macrophages. Faint basophilic objects consistent with bacterial rods are visible in macrophages (see inset, indicated by white arrow). Haematoxylin and eosin, × 50
Figure 3
Figure 3
Macrophages contain variably prominent periodic acid–Schiff-positive granules (PAS, × 50)
Figure 4
Figure 4
Macrophages contain gram-negative bacterial rods (see inset, indicated by white arrow). Gram stain, × 100
Figure 5
Figure 5
Fluorescence in situ hybridisation (FISH) analysis of vaginal mucosa. Eubacterial FISH revealed multifocal clusters of intracellular rods within the vaginal mucosa (arrows). These bacteria hybridised with an Escherichia coli/Shigella species probe (inset). Bacteria (Cy3) are red/orange. Nuclei (4′,6-diamidino-2-phenylindole) are blue

References

    1. McClure J. Malakoplakia. J Pathol 1983; 140: 275–330. - PubMed
    1. Bayley C, Slocombe R, Tatarczuch L. Malakoplakia in the urinary bladder of a kitten. J Comp Pathol 2008; 139: 47–50. - PubMed
    1. Gill B, Ducatelle R, Coussement W, et al. Malacoplakia-like lesion in the lymph node of a pig. J Comp Pathol 1981; 91: 539–544. - PubMed
    1. Rutland BE, Nimmo J, Goldsworthy M, et al. Successful treatment of malakoplakia of the bladder in a kitten. J Feline Med Surg 2013; 15: 744–748. - PMC - PubMed
    1. Taketa Y, Inomata A, Sonoda J, et al. Granulomatous nephritis consistent with malakoplakia in a cynomolgus monkey. J Toxicol Pathol 2013; 26: 419–422. - PMC - PubMed

Publication types

LinkOut - more resources