Paraneoplastic acral vascular syndrome in a patient with metastatic melanoma under immune checkpoint blockade
- PMID: 28499411
- PMCID: PMC5429577
- DOI: 10.1186/s12885-017-3313-6
Paraneoplastic acral vascular syndrome in a patient with metastatic melanoma under immune checkpoint blockade
Abstract
Background: Paraneoplastic acral vascular syndrome (PAVS) is a rare phenomenon which is observed in patients with adenocarcinomas and other malignancies. Various potential pathogenic mechanisms such as tumour invasion of sympathetic nerves, hyperviscosity, hypercoagulability, vasoactive tumour-secreted substances, and immunological mechanisms have been suggested.
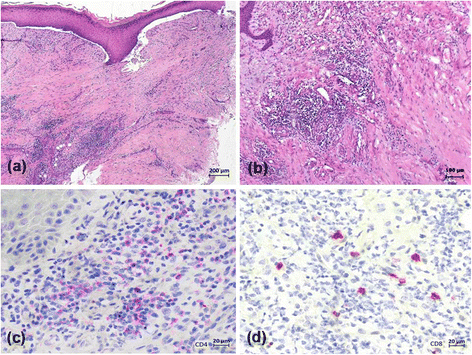
Case presentation: We report a 60-year-old Caucasian male attended our hospital with a bulky lymph node mass in the right axilla. Extirpation of a lymph node conglomerate revealed 5 melanoma lymph node metastases. Computed tomography showed a liver metastasis (diameter: 3.8 cm), several retroperitoneal metastases, bilateral metastases in the lung hilus, and prepectoral subcutaneous metastases (Stage IV; pTx, N3, M1c). Lactate dehydrogenase and S100B were slightly elevated. Combination therapy of nivolumab (1 mg/kg BW) and ipilimumab (3 mg/kg BW) was started. Three weeks after the first combination therapy he developed progressive erythema, paraesthesia and pain on the fingertips of both hands. Both cold and warmth was not well tolerated by the patient. Complete work-up excluded associated conditions or factors such as haematological disorders, rheumatologic disorders, hypertension, diabetes or smoking. Treatment was initiated with prostacyclin 20 μg twice daily and oral prednisolone 50 mg in tapering dosage. However, prostacyclin was stopped after the first applications because the pain increased during infusion. The second course of nivolumab and ipilimumab was administered. About 2 weeks later, the patient presented with increased pain and small subungual necrosis. We treated the patient with oral analgetics and intravenous prednisolone 500 mg in tapering dosage. On digital substraction angiography occlusion of all arteries of the fingers was demonstrated. Further rheologic and anti-melanoma treatments were refused by the patient. About 2 months after the second course of nivolumab and ipilimumab combination therapy several fingers showed severe gangrene which finally led to amputations of end phalanges of several fingers. Histopathology did not reveal evidence for vasculitis or other primary vascular pathologies. During the following 2 months the patient experienced dramatic progress of his metastatic disease and finally died at multi-organ failure.
Conclusion: Presence of rapidly progressive digital ischemia in an elderly patient with cancer should always raise clinical suspicion of a paraneoplastic phenomenon when other possible causes have been excluded. In patients treated with immune checkpoint inhibitors such as CTLA-4 and PD-L1 blockers PVAS-like events have not been reported so far. However, it is debatable whether immune checkpoint blockade may play a pathogenetic role in the development of PAVS in patients with malignancies.
Keywords: Digital ischemia; Gangrene; Immune-checkpoint blockade, ipilimumab, nivolumab; Melanoma.
Figures
References
-
- Hsu ST, Lee YY, Lie MF. Symmetrical peripheral gangrene of sudden onset - a paraneoplastic syndrome? – a case report and review of the literature. Dematol Sinica. 1996;14:82–88.
Publication types
MeSH terms
Substances
LinkOut - more resources
Full Text Sources
Other Literature Sources
Medical
Research Materials
Miscellaneous
