Bronchiectasis in COPD patients: more than a comorbidity?
- PMID: 28546748
- PMCID: PMC5436792
- DOI: 10.2147/COPD.S132961
Bronchiectasis in COPD patients: more than a comorbidity?
Erratum in
-
Erratum: Bronchiectasis in COPD patients: more than a comorbidity? [Corrigendum].Int J Chron Obstruct Pulmon Dis. 2019 Jan 18;14:245. doi: 10.2147/COPD.S194432. eCollection 2019. Int J Chron Obstruct Pulmon Dis. 2019. PMID: 30718950 Free PMC article.
Abstract
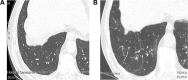
Computed tomography scan images have been used to identify different radiological COPD phenotypes based on the presence and severity of emphysema, bronchial wall thickening, and bronchiectasis. Bronchiectasis is defined as an abnormal dilation of the bronchi, usually as a result of chronic airway inflammation and/or infection. The prevalence of bronchiectasis in patients with COPD is high, especially in advanced stages. The identification of bronchiectasis in COPD has been defined as a different clinical COPD phenotype with greater symptomatic severity, more frequent chronic bronchial infection and exacerbations, and poor prognosis. A causal association has not yet been proven, but it is biologically plausible that COPD, and particularly the infective and exacerbator COPD phenotypes, could be the cause of bronchiectasis without any other known etiology, beyond any mere association or comorbidity. The study of the relationship between COPD and bronchiectasis could have important clinical implications, since both diseases have different and complementary therapeutic approaches. Longitudinal studies are needed to investigate the development of bronchiectasis in COPD, and clinical trials with treatments aimed at reducing bacterial loads should be conducted to investigate their impact on the reduction of exacerbations and improvements in the long-term evolution of the disease.
Keywords: COPD; bronchiectasis; clinical phenotype; exacerbations; infection; natural history.
Conflict of interest statement
Disclosure The authors report no conflicts of interest in this work.
Figures



References
-
- Miravitlles M, Calle M, Soler-Cataluña JJ. Clinical phenotypes of COPD: identification, definition and implications for guidelines. Arch Bronconeumol. 2012;48(3):86–98. - PubMed
-
- Mair G, Maclay J, Miller JJ, et al. Airway dimensions in COPD: relationship with clinical variables. Respir Med. 2010;104(11):1683–1690. - PubMed
Publication types
MeSH terms
LinkOut - more resources
Full Text Sources
Other Literature Sources
Medical