Skip to main page content
U.S. flag

An official website of the United States government

Dot gov

The .gov means it’s official.
Federal government websites often end in .gov or .mil. Before sharing sensitive information, make sure you’re on a federal government site.

Https

The site is secure.
The https:// ensures that you are connecting to the official website and that any information you provide is encrypted and transmitted securely.

Access keys NCBI Homepage MyNCBI Homepage Main Content Main Navigation
. 2017 Jan;9(1):61-70.
doi: 10.1177/1758573216677200. Epub 2016 Nov 16.

Primary elbow arthroplasty: problems and solutions

Affiliations

Primary elbow arthroplasty: problems and solutions

Joaquin Sanchez-Sotelo. Shoulder Elbow. 2017 Jan.

Abstract

Prosthetic replacement of the elbow joint has continued to improve over time. Widespread implantation of certain designs has led to identification a few successful elements of elbow arthroplasty, as well as several opportunities for improvement. Current hot topics in elbow arthroplasty include triceps-preserving exposures, implantation of components with better-expected wear performance, management of the ulnar nerve, prevention of infection, and the development of successful cementless components. Total elbow arthroplasty has the potential to improve pain, function and quality of life for many patients with articular destruction secondary to inflammatory arthropathy or as a consequence of trauma. Continued advances in this field are key to make this operation as reliable and lasting as hip or knee arthroplasty.

Keywords: arthroplasty; elbow; surgical advances.

PubMed Disclaimer

Figures

Figure 1.
Figure 1.
Triceps-off exposures.
Figure 2.
Figure 2.
Triceps-on exposures.
Figure 3.
Figure 3.
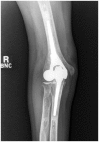
Anteroposterior radiograph 20 years after a Coonrad–Morrey elbow arthroplasty was implanted in a patient with rheumatoid arthritis.
Figure 4.
Figure 4.
Lateral radiograph 20 years after a Coonrad–Morrey elbow arthroplasty was implanted in a patient with rheumatoid arthritis.
Figure 5.
Figure 5.
Lateral radiograph shows catastrophic loosening of the ulnar component with severe osteolysis and a periprosthetic fracture.
Figure 6.
Figure 6.
Modern elbow implants offer a high-performance articulation and the possibility of lateral column load sharing.
Figure 7.
Figure 7.
Anteroposterior radiograph of a patient with long-standing deformity of the elbow secondary to a childhood injury.
Figure 8.
Figure 8.
Lateral radiograph of a patient with long-standing deformity of the elbow secondary to a childhood injury.

References

    1. Voloshin I, Schippert DW, Kakar S, Kaye EK, Morrey BF. Complications of total elbow replacement: a systematic review. J Shoulder Elbow Surg Am 2011; 20: 158–168. - PubMed
    1. Thomopoulos S, Williams GR, Soslowsky LJ. Tendon to bone healing: differences in biomechanical, structural, and compositional properties due to a range of activity levels. J Biomech Engineering 2003; 125: 106–113. - PubMed
    1. Alonso-Llames M. Bilaterotricipital approach to the elbow. Its application in the osteosynthesis of supracondylar fractures of the humerus in children. Acta Orthoped Scand 1972; 43: 479–490. - PubMed
    1. Morrey BF, Adams RA. Semiconstrained elbow replacement for distal humeral nonunion. J Bone Joint Surg Br 1995; 77: 67–72. - PubMed
    1. Harmer LS, Sanchez-Sotelo J. Total elbow arthroplasty for distal humerus fractures. Hand Clin 2015; 31: 605–614. - PubMed

LinkOut - more resources