Antiretinal antibody- proven autoimmune retinopathy
- PMID: 28574003
- PMCID: PMC5565899
- DOI: 10.4103/ijo.IJO_838_16
Antiretinal antibody- proven autoimmune retinopathy
Abstract
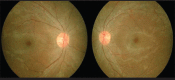
A young female presented with bilateral subacute onset of progressive decrease in night vision and reduced peripheral field of vision. The short duration and rapid progression of symptoms along with the lack of family history of night blindness prompted a diagnosis of autoimmune retinopathy (AIR). Fundus fluorescein angiography, optical coherence tomography, visual fields, and electroretinogram were suggestive of AIR. A differential diagnosis of retinitis pigmentosa (RP) was also made. Antiretinal autoantibodies were detected in the blood sample. Treatment was with oral steroids and subsequently oral immunosuppressive agents. Visual acuity was maintained, fundus examination reverted to normal, and investigations repeated at every visit were stable with improvement in visual fields. Our case suggests that AIR, if diagnosed early and treated appropriately, may have a good outcome and should be considered in patients with an atypical presentation of RP.
Conflict of interest statement
There are no conflicts of interest.
Figures
References
Publication types
MeSH terms
Substances
LinkOut - more resources
Full Text Sources
Other Literature Sources
Medical
