Skip to main page content
U.S. flag

An official website of the United States government

Dot gov

The .gov means it’s official.
Federal government websites often end in .gov or .mil. Before sharing sensitive information, make sure you’re on a federal government site.

Https

The site is secure.
The https:// ensures that you are connecting to the official website and that any information you provide is encrypted and transmitted securely.

Access keys NCBI Homepage MyNCBI Homepage Main Content Main Navigation
. 2017 Jun;13(6):3509-3515.
doi: 10.3892/etm.2017.4432. Epub 2017 May 5.

Diagnostic accuracy of diffusion-weighted whole-body imaging with background body signal suppression/T2-weighted image fusion for the detection of abdominal solid cancer

Affiliations

Diagnostic accuracy of diffusion-weighted whole-body imaging with background body signal suppression/T2-weighted image fusion for the detection of abdominal solid cancer

Minoru Tomizawa et al. Exp Ther Med. 2017 Jun.

Abstract

Diffusion-weighted whole-body imaging with background body signal suppression (DWIBS) images show significant contrast for cancer tissues against non-cancerous tissues. Fusion of a DWIBS and a T2-weighted image (DWIBS/T2) can be used to obtain functional, as well as anatomic, information. In the present study, the performance of DWIBS/T2 in the diagnosis of abdominal solid cancer was evaluated. The records of 14 patients were retrospectively analyzed [5 patients with hepatocellular carcinoma (HCC), 4 with metastatic liver cancer, 3 with pancreatic cancer, 1 with renal cellular carcinoma and 1 with malignant lymphoma of the para-aortic lymph node]. T1WI and T2WI scans did not detect pancreatic cancer in certain cases, whereas DWIs and DWIBS/T2 clearly demonstrated pancreatic cancer in all cases. In addition, metastatic liver cancer and HCC were successfully detected with abdominal US and CECT; however, US did not detect pancreatic cancer in 1 case, while CECT and DWIBS/T2 detected pancreatic cancer in all cases. In conclusion, the diagnostic performance of DWIBS/T2 was the same as that of abdominal US and CECT in detecting primary and metastatic liver cancer. DWIBS/T2 enabled the diagnosis of pancreatic cancer in cases where it was not detected with US, T1WI or T2WI.

Keywords: abdominal ultrasonography; computed tomography; hepatocellular carcinoma; pancreatic cancer.

PubMed Disclaimer

Figures

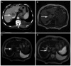
Figure 1.
Figure 1.
Imaging examination in the representative case of a 73-year-old patient diagnosed with hepatocellular carcinoma. The tumor was successfully detected with DWIBS/T2. (A) CECT scanning demonstrated a space-occupying lesion with mixed enhancement (arrow). (B) T1WI showed an unclear mass-like lesion. (C) Detection of the lesion was difficult in a T2WI when compared with the CECT scan. (D) DWIBS/T2 clearly showed a high signal. DWIBS/T2, diffusion-weighted whole-body imaging with background body signal suppression/T2-weighted image fusion; CECT, contrast-enhanced computed tomography; WI, weighted image.
Figure 2.
Figure 2.
Imaging examination in the representative case of a 75-year-old female patient diagnosed with pancreatic cancer. The tumor was successfully detected by DWIBS/T2. (A) Magnetic resonance cholangiopancreatography showed obstruction of the common bile duct near the papilla of Vater (arrow). (B) Percutaneous transhepatic biliary drainage was performed. (C) A coronal section of DWIBS/T2 demonstrated a high signal on the obstruction. (D) CECT revealed an irregularly shaped low-density area in the head of the pancreas. (E) T1WI and (F) T2WI scans did not show clear presence of pancreatic cancer. (G) A transverse section of DWIBS/T2 demonstrated a high signal in the head of the pancreas. (H) Surgical specimens confirmed the diagnosis of pancreatic cancer in the head of the pancreas close to common bile duct (circled with arrowheads). Scale bar, 1 cm; b, common bile duct; d, duodenum; DWIBS/T2, diffusion-weighted whole-body imaging with background body signal suppression/T2-weighted image fusion; CECT, contrast-enhanced computed tomography; WI, weighted image.

References

    1. Takahara T, Imai Y, Yamashita T, Yasuda S, Nasu S, Van Cauteren M. Diffusion weighted whole body imaging with background body signal suppression (DWIBS): Technical improvement using free breathing, STIR and high resolution 3D display. Radiat Med. 2004;22:275–282. - PubMed
    1. Sehy JV, Ackerman JJ, Neil JJ. Apparent diffusion of water, ions and small molecules in the Xenopus oocyte is consistent with Brownian displacement. Magn Reson Med. 2002;48:42–51. doi: 10.1002/mrm.10181. - DOI - PubMed
    1. Attariwala R, Picker W. Whole body MRI: Improved lesion detection and characterization with diffusion weighted techniques. J Magn Reson Imaging. 2013;38:253–268. doi: 10.1002/jmri.24285. - DOI - PMC - PubMed
    1. Kwee TC, Takahara T, Ochiai R, Nievelstein RA, Luijten PR. Diffusion-weighted whole-body imaging with background body signal suppression (DWIBS): Features and potential applications in oncology. Eur Radiol. 2008;18:1937–1952. doi: 10.1007/s00330-008-0968-z. - DOI - PMC - PubMed
    1. Moschetta M, Telegrafo M, Rella L, Capolongo A, Ianora AA Stabile, Angelelli G. MR evaluation of breast lesions obtained by diffusion-weighted imaging with background body signal suppression (DWIBS) and correlations with histological findings. Magn Reson Imaging. 2014;32:605–609. doi: 10.1016/j.mri.2014.03.009. - DOI - PubMed