When your patient clicks: a loud clicking sound as a key sign to the diagnosis
- PMID: 28659370
- PMCID: PMC5535058
- DOI: 10.1136/bcr-2017-220301
When your patient clicks: a loud clicking sound as a key sign to the diagnosis
Abstract
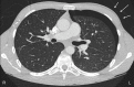
A 19-year-old male patient was referred by his general practitioner with a new 'cardiac murmur'. For 1 week, he had been able to provoke a clicking sound, which was in time with his heart beat and originated from his chest. The physical examination and laboratory tests were normal. The sound was initially interpreted as most likely due to a valve condition such as mitral valve prolapse, but a transthoracic echocardiogram was normal. A cardiac CT was obtained, which showed left-sided ventral pneumothorax.The Hamman's sign is a loud precordial pulse synchronous sound, which is often postural. It is pathognomonic for left-sided pneumothorax or pneumomediastinum. Hamman's sign as a presenting symptom is rare, but if present is key to diagnosis. The awareness of rare clinical findings is important and will prevent unnecessary diagnostic tests.
Keywords: Cardiovascular Medicine; Emergency Medicine; General Practice / Family Medicine; Respiratory Medicine; Valvar Diseases.
© BMJ Publishing Group Ltd (unless otherwise stated in the text of the article) 2017. All rights reserved. No commercial use is permitted unless otherwise expressly granted.
Conflict of interest statement
Competing interests: None declared.
Figures


References
-
- Laennec RTH. De L’auscultation Médiate ou Traité du Diagnostic des Maladies des Poumons et du Coeur. Paris: Brosson & Chaudé, 1819.
-
- Baumann MH, Sahn SA. Hamman's sign revisited. Pneumothorax or pneumomediastinum? Chest 1992;102:1281–2. - PubMed
Publication types
MeSH terms
LinkOut - more resources
Full Text Sources
Other Literature Sources
Medical