Skip to main page content
U.S. flag

An official website of the United States government

Dot gov

The .gov means it’s official.
Federal government websites often end in .gov or .mil. Before sharing sensitive information, make sure you’re on a federal government site.

Https

The site is secure.
The https:// ensures that you are connecting to the official website and that any information you provide is encrypted and transmitted securely.

Access keys NCBI Homepage MyNCBI Homepage Main Content Main Navigation
Case Reports
. 2015 Sep 11;3(1):13-16.
doi: 10.2176/nmccrj.cr.2015-0131. eCollection 2016 Jan.

Remote Supratentorial Hemorrhage following Supratentorial Craniotomy: A Case Report

Affiliations
Case Reports

Remote Supratentorial Hemorrhage following Supratentorial Craniotomy: A Case Report

Hirokazu Nagasaki et al. NMC Case Rep J. .

Abstract

Intracranial hemorrhage (ICH) in regions remote from the initial intracranial operation site is rare. The mechanism of ICH following cranial surgery remains unclear, although several theories have been proposed. Most of the reports describe cerebellar hemorrhages after supratentorial procedures or supratentorial hemorrhages after infratentorial procedures. Remote supratentorial hemorrhage (RSH) following supratentorial surgery is extremely rare. We report a case of postoperative RSH occurring away from the surgical site. A 62-year-old woman underwent a right occipital lobectomy to resect lung carcinoma metastases. The patient developed a postoperative consciousness disturbance, and a brain computed tomography (CT) scan revealed an ICH in the left frontal region. The patient underwent ICH evacuation, but remained severely disabled. It is necessary to be aware that this complication is possible after craniotomy.

Keywords: craniotomy; postoperative hemorrhage; remote site hemorrhage.

PubMed Disclaimer

Conflict of interest statement

Conflicts of Interest Disclosure The authors declare that they have no conflicts of interest.

Figures

Fig. 1
Fig. 1
T1-weighted magnetic resonance imaging showing a strong enhanced mass in the right occipital lobe.
Fig. 2
Fig. 2
A: T1-weighted magnetic resonance imaging (MRI) showing disseminated lesions. B: Fluid-attenuated inversion recovery (FLAIR) MRI revealing extensive peritumoral edema in the right temporal and occipital lobes.
Fig. 3
Fig. 3
Postoperative computed tomography showing an acute hemorrhage in the left frontal intraparenchyma.
Fig. 4
Fig. 4
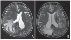
A: Preoperative T2-weighted magnetic resonance imaging (MRI) showing massive brain edema with a midline shift. B: T2-weighted MRI performed a month after surgery revealing a decrease in the degree of brain edema and an improvement in the midline shift. It also showed removal of the hematoma in the left frontal lobe.
Fig. 5
Fig. 5
A: Preoperative magnetic resonance venography (MRV) three-dimensional reconstruction (left lateral view) revealing normal venous drainage. B: Follow-up MRV (left lateral view) taken a month after surgery poorly showing the left frontal veins draining into the superior sagittal sinus.

References

    1. Kalfas IH, Little JR: Postoperative hemorrhage: a survey of 4992 intracranial procedures. Neurosurgery 23: 343– 347, 1988. - PubMed
    1. Brisman MH, Bederson JB, Sen CN, Germano IM, Moore F, Post KD: Intracerebral hemorrhage occurring remote from the craniotomy site. Neurosurgery 39: 1114– 1121; discussion 1121–1122, 1996. - PubMed
    1. Friedman JA, Piepgras DG, Duke DA, McClelland RL, Bechtle PS, Maher CO, Morita A, Perkins WJ, Parisi JE, Brown RD: Remote cerebellar hemorrhage after supratentorial surgery. Neurosurgery 49: 1327– 1340, 2001. - PubMed
    1. Toczek MT, Morrell MJ, Silverberg GA, Lowe GM: Cerebellar hemorrhage complicating temporal lobectomy. Report of four cases. J Neurosurg 85: 718– 722, 1996. - PubMed
    1. Yacubian EM, de Andrade MM, Jorge CL, Valério RM: Cerebellar hemorrhage after supratentorial surgery for treatment of epilepsy: report of three cases. Neurosurgery 45: 159– 162, 1999. - PubMed

Publication types

LinkOut - more resources