Skip to main page content
U.S. flag

An official website of the United States government

Dot gov

The .gov means it’s official.
Federal government websites often end in .gov or .mil. Before sharing sensitive information, make sure you’re on a federal government site.

Https

The site is secure.
The https:// ensures that you are connecting to the official website and that any information you provide is encrypted and transmitted securely.

Access keys NCBI Homepage MyNCBI Homepage Main Content Main Navigation
Review
. 2017 Apr 4:26:198.
doi: 10.11604/pamj.2017.26.198.11523. eCollection 2017.

Adult-type granulosa cell tumor of the testis: report of a case and review of literature

Affiliations
Review

Adult-type granulosa cell tumor of the testis: report of a case and review of literature

Meriem Elbachiri et al. Pan Afr Med J. .

Abstract

Granulosa cell tumors is classified into juvenile and adult types and comprise less than 5% of ovarian tumors in women and are much rarer in men which only 45 have been previously reported. We report here a 40-year young man with a left testicular adult type granulosa cell tumor. The tumor measured 5.5X5X4cm; Immunohistochemical stains showed the tumor diffusely positive for inhibin and vimentin. Post operative CT scans shows a lomboaortic lymphnodes treated by four cycles of chemotherapy type BEP (bleomycin, etoposide, cisplatin). The thoraco abdominal CT scans post chemotherapy shows the disappearance of the right testicular nodule and the lomboaortic lymphnodes. 2 years after treatment, the patient is alive and well with no signs of recurrence. Our report highlights one more case of this very rare tumor of the testis, which is quite problematic In terms of prognosis and management, and for this reason seems to have attracted the interest of many researchers recently.

Keywords: Adult-type granulosa cell tumour; Granulosa; testis; tumour.

PubMed Disclaimer

Conflict of interest statement

The authors declare no competing interests.

Figures

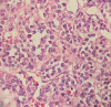
Figure 1
Figure 1
Low power view of granulose cell tumor shows microfollicular pattern of growth
Figure 2
Figure 2
Granulosa cell tumor with a solid pattern of growth with call exners bodies (stars)
Figure 3
Figure 3
Granulosa cell tumor composed of tumor cells round to ovoid with irregular nuclear membranes and occasional nuclear

References

    1. Majdoul soufya, et al. Récidive après dix ans de tumeur de la granulosa de l’ovaire: à propos de deux cas et revue de la littérature. The Pan African Medical Journal. 2016;25:30. - PMC - PubMed
    1. Sun HD, Lin H, Jao MS, Wang KL, Liou WS, Hung YC, et al. A long-term follow-up study of 176 cases with adult-type ovarian granulosa cell tumors. Gynecol Oncol. 2012;124(2):244–9. - PubMed
    1. Yi-Chan Chen L, Chang, Soong R. A late recurring and easily forgotten tumor: ovarian granulosa cell tumor. World Journal of Surgical Oncology. 2012;79(3):776–4. - PMC - PubMed
    1. Cheville JC, et al. Classification and pathology of testicular germ cell and sex cord-stromal tumors. Urol Clin North Am. 1999;26:595–609. - PubMed
    1. Lazrak, et al. Granulosa-cell tumor of the ovary. International Journal of Innovation and Applied Studies. 2014 Aug;7(3):1020–1024. ISSN 2028-9324.

MeSH terms

Supplementary concepts