[Cerebral hydatid cysts in children: about 15 cases]
- PMID: 28690720
- PMCID: PMC5491731
- DOI: 10.11604/pamj.2017.26.205.8398
[Cerebral hydatid cysts in children: about 15 cases]
Abstract
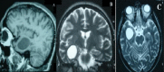
L’objectif de notre étude est d’illustrer l’intérêt de l’imagerie en coupe (TDM, IRM) dans le diagnostic positif et le suivi post-thérapeutique du kyste hydatique cérébral chez l’enfant et de mettre en lumière les particularités et les difficultés rencontrées dans la prise en charge de la localisation cérébrale de cette affection, par notre expérience basée sur 15 cas de kyste hydatique cérébral de l’enfant. Il s’agit d’une étude rétrospective de 15 cas d’hydatidose cérébrale de l’enfant colligés sur une période de 10 ans. La TDM cérébrale en coupes axiales de 5 mm d’épaisseur sans et avec injection de produit de contraste a été réalisée chez 15 patients. L’IRM encéphalique a été réalisée en séquences pondérées en T1 et en T2 chez un patient dans les trois plans de l’espace sans injection de Gadolinium. L’âge moyen de nos patients était de 9 ans. La symptomatologie clinique était dominée par le syndrome d’hypertension intracrânienne. Le kyste hydatique était solitaire et se situait au niveau de l’étage sus-tentoriel avec un important effet de masse sur le système ventriculaire et la ligne médiane dans la majorité des cas. Tous nos patients ont été opérés et l’évolution était favorable dans tous les cas. La TDM représente l’examen de choix pour le diagnostic et le suivi postopératoire du kyste hydatique cérébral. L’IRM trouve son intérêt essentiellement dans le diagnostic des formes multiples et des formes atypiques permettant une planification thérapeutique plus adaptée.
Our study aimed to highlight the role of cross sectional imaging techniques (CT, MRI) in positive diagnosis and post-therapeutic follow-up of cerebral hydatid cysts in children as well as to describe the peculiarities and the difficulties encountered in the management of these cysts based on our experience about 15 cases. We conducted a retrospective study of 15 cases of cerebral hydatidosis in children whose data were collected over a period of 10 years. CT scan of the brain with 5 mm slice thickness without and with injection of contrast product was performed in 15 patients. One patient underwent brain MRI creating either T1-weighted or T2-weighted images in all three planes without Gadolinium injection. The average age of patients was 9 years. Clinical symptoms were dominated by intracranial hypertension syndrome. Hydatid cyst was solitary and was located in the supratentorial level with an important mass effect on the ventricular system and the median line in most cases. All patients underwent surgery and patients’ evolution was favorable in all cases. CT scan is the test of choice for the diagnosis and the postoperative follow-up of patients with cerebral hydatid cysts. MRI is used essentially in the diagnosis of multiple and atypical type of cerebral hydatid cysts, enabling the design of more effective treatment strategy.
Keywords: CT scan; Hydatique cyst; MRI; cerebral location; surgery.
Conflict of interest statement
Les auteurs ne déclarent aucun conflit d'intérêt.
Figures



References
-
- Tlili-graiess K, El-ouni F, Gharbi-Jemni H, et al. Hydatidose cérébrale, aspects en imagerie. J Neuroradiol. 2006 Dec;33(5):304–18. - PubMed
-
- Jovay H. Kyste hydatique du cerveau à propos de 13 cas (Thèse) Monastir: faculté de médecine de Monastir Tunisie; 1998.
-
- Brahem M, Hlel K, Ayadi A, et al. Kyste hydatique cérébral de l’enfant: à propos de quatre observations. Med Mal Infect. 2006 Aug;36(8):434–7. - PubMed
-
- Tizniti S, Allani N, El quessar A, et al. Un kyste hydatique cérébral particulier. J Neuroradiol. 2000 Sep;27(3):200–2. - PubMed
-
- El-Shamam O, Amer T, El-Atta MA. Magnetic resonance imaging of simple and infected hydatid cysts of the brain. Magn Reson Imaging. 2001 Sep;19(7):965–74. - PubMed
MeSH terms
LinkOut - more resources
Full Text Sources
Other Literature Sources