Skip to main page content
U.S. flag

An official website of the United States government

Dot gov

The .gov means it’s official.
Federal government websites often end in .gov or .mil. Before sharing sensitive information, make sure you’re on a federal government site.

Https

The site is secure.
The https:// ensures that you are connecting to the official website and that any information you provide is encrypted and transmitted securely.

Access keys NCBI Homepage MyNCBI Homepage Main Content Main Navigation
. 2017 Sep 7;7(9):2883-2889.
doi: 10.1534/g3.117.043547.

Whole Genome Sequence of the Heterozygous Clinical Isolate Candida krusei 81-B-5

Affiliations

Whole Genome Sequence of the Heterozygous Clinical Isolate Candida krusei 81-B-5

Christina A Cuomo et al. G3 (Bethesda). .

Abstract

Candida krusei is a diploid, heterozygous yeast that is an opportunistic fungal pathogen in immunocompromised patients. This species also is utilized for fermenting cocoa beans during chocolate production. One major concern in the clinical setting is the innate resistance of this species to the most commonly used antifungal drug fluconazole. Here, we report a high-quality genome sequence and assembly for the first clinical isolate of C. krusei, strain 81-B-5, into 11 scaffolds generated with PacBio sequencing technology. Gene annotation and comparative analysis revealed a unique profile of transporters that could play a role in drug resistance or adaptation to different environments. In addition, we show that, while 82% of the genome is highly heterozygous, a 2.0 Mb region of the largest scaffold has undergone loss of heterozygosity. This genome will serve as a reference for further genetic studies of this pathogen.

Keywords: 81-B-5; Candida krusei; Genome Report; LOH; heterozygosity; mating type locus; transporters.

PubMed Disclaimer

Figures

Figure 1
Figure 1
Genome-wide heterozygosity and genome coverage. (A) Heterozygous SNP positions are plotted across the assembly scaffolds in windows of 5 kb. (B) Normalized read depth is plotted across the assembly scaffolds in windows of 5 kb. Scaffold 11, consisting of around six ribosomal DNA repeats, is not depicted.
Figure 2
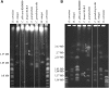
Figure 2
Karyotype analysis of C. krusei strain 81-B-5 reveals five chromosomal bands. (A) Short run to separate chromosomes smaller than 2 Mb. (B) Long run to separate all chromosomes. The chromosomes for C. krusei are labeled one through five. Several other Candida species were run as references; S. cerevisiae and H. wingei standards (Bio-Rad) were used for chromosome size estimation of C. krusei chromosomes.
Figure 3
Figure 3
Phylogeny of Cdr and Mdr proteins in C. krusei and related species. Cdr and Mdr proteins identified across six species were aligned and used to infer a phylogeny using RAxML (Materials and Methods). Prefix for each protein corresponds to the species as follows: Ca, C. albicans; Cl, C. lusitaniae; Ck, C. krusei; Pp, P. pastoris; Cg, C. glabrata; Sc, S. cerevisiae.
Figure 4
Figure 4
Mating type locus of C. krusei. Genes adjacent to the mating type locus of C. krusei differ from the CTG clade Candida and other related species; there is a single copy of MATa1 and MATa2 found in the assembly, adjacent to the SLA2 gene, whereas the OBP, PIK, and PAP genes are found on other scaffolds in the assembly.

References

    1. Beckerman J., Chibana H., Turner J., Magee P. T., 2001. Single-copy IMH3 allele is sufficient to confer resistance to mycophenolic acid in Candida albicans and to mediate transformation of clinical Candida species. Infect. Immun. 69: 108–114. - PMC - PubMed
    1. Braun B. R., Van Het Hoog M., d’Enfert C., Martchenko M., Dungan J., et al. , 2005. A human-curated annotation of the Candida albicans genome. PLoS Genet. 1: 36–57. - PMC - PubMed
    1. Bruno V. M., Wang Z., Marjani S. L., Euskirchen G. M., Martin J., et al. , 2010. Comprehensive annotation of the transcriptome of the human fungal pathogen Candida albicans using RNA-seq. Genome Res. 20: 1451–1458. - PMC - PubMed
    1. Butler G., Rasmussen M. D., Lin M. F., Santos M. S., Sakthikumar S., et al. , 2009. Evolution of pathogenicity and sexual reproduction in eight Candida genomes. Nature 459: 657–662. - PMC - PubMed
    1. Capella-Gutiérrez S., Silla-Martínez J. M., Gabaldón T., 2009. trimAl: a tool for automated alignment trimming in large-scale phylogenetic analyses. Bioinformatics 25: 1972–1973. - PMC - PubMed

MeSH terms