Induction of autoimmune abdominal aortic aneurysm in pigs - A novel large animal model
- PMID: 28702183
- PMCID: PMC5485555
- DOI: 10.1016/j.amsu.2017.06.017
Induction of autoimmune abdominal aortic aneurysm in pigs - A novel large animal model
Abstract
Background: Abdominal aortic aneurysm (AAA) is a common disease with a high mortality. Many animal models have been developed to further understand the pathogenesis of the disease, but no large animal model has been developed to investigate the autoimmune aspect of AAA formation. The aim of this study was to develop a large animal model for abdominal aortic aneurysm induction through autoimmunity by performing sheep-to-pig xenotransplantation.
Methods: Six pigs underwent a xenotransplantation procedure where the infrarenal porcine aorta was replaced by a decellularized sheep aorta. In the following 47 days, the AP-diameter of the xenografts was measured using ultrasound once a week. All xenografts were harvested for histological analyses.
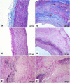
Results: All the xenografts formed aneurysms with a mean increase in AP-diameter of 80.98 ± 30.20% (p < 0.005). The ultrasound measurements demonstrated a progressive aneurysmal expansion with no sign of halting towards the end of the follow-up period. Histology showed destruction of tunica media and the elastic tissue, neointimal hyperplasia, adventitial thickening with neovascularization, infiltration of lymphocytes and granulocytes, and in some cases intramural haemorrhaging.
Conclusion: We developed a novel large animal AAA model by infrarenal aortic sheep-to-pig xenograph transplantation resulting in autoimmune AAA induction with continuously progressive aneurysmal growth. This model can be used to provide a better understand the autoimmune aspect of AAA formation in large animals.
Keywords: Abdominal aortic aneurysm; Autoimmunity; Porcine model; Sheep-to-pig xenotransplantation.
Figures




References
-
- Jagadesham V.P., Scott D.J., Carding S.R. Abdominal aortic aneurysms: an autoimmune disease? Trends Mol. Med. 2008;14(12):522–529. - PubMed
-
- Lindholt J.S., Shi G.P. Chronic inflammation, immune response, and infection in abdominal aortic aneurysms. Eur. J. Vasc. Endovasc. Surg. 2006;31(5):453–463. - PubMed
-
- Lysgaard Poulsen J., Stubbe J., Lindholt J.S. Animal models used to explore abdominal aortic aneurysms: a systematic review. Eur. J. Vasc. Endovasc. Surg. 2016;52(4):487–499. - PubMed
LinkOut - more resources
Full Text Sources
Other Literature Sources