Angiosarcoma treated successfully with anti-PD-1 therapy - a case report
- PMID: 28716069
- PMCID: PMC5514460
- DOI: 10.1186/s40425-017-0263-0
Angiosarcoma treated successfully with anti-PD-1 therapy - a case report
Abstract
Background: Angiosarcomas are tumors of malignant endothelial origin that have a poor prognosis with a five-year survival of less than 40%. These tumors can be found in all age groups, but are more common in older patients; with the cutaneous form most common in older white men. Combined modality therapy including surgery and radiation appears to have a better outcome than each modality alone. When metastatic, agents such as liposomal doxorubicin, paclitaxel and ifosfamide have activity but it is short-lived and not curative. Immunotherapy targeting either the PD-1 receptor or PD-L1 ligand has recently been shown to have activity in multiple cancers including melanoma, renal, and non-small lung cancer. Although these agents have been used in sarcoma therapy, their ability to treat angiosarcoma has not been reported.
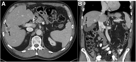
Case presentation: Here we describe the case of a 63-year-old man who presented initially with angiosarcoma of the nose and received surgery for the primary. Over 4 years he had recurrent disease in the face and liver and was treated with nab-paclitaxel, surgery, and radioembolization, but continued to have progressive disease. His tumor was found to express PD-L1 and he received off-label pembrolizumab 2 mg/kg every 21 days for 13 cycles with marked shrinkage of his liver disease and no new facial lesions. Secondary to this therapy he developed hepatitis and has been treated with decreasing doses of prednisone. During the 8 months off therapy he has developed no new or progressive lesions.
Conclusions: Although occasional responses to immunotherapy have been reported for sarcomas, this case report demonstrates that angiosarcoma can express PD-L1 and have a sustained response to PD-1 directed therapy.
Conflict of interest statement
Ethics approval and consent to participate
The patient was treated on a compassionate use basis with the appropriate consent. No other ethical approvals were needed. Consent for administration of this agent was obtained from this patient.
Consent for publication
Written informed consent was obtained from the patient for publication of their individual details and accompanying images in this manuscript. The consent form is held by the authors and is available for review by the Editor-in-Chief.
Competing interests
The authors declare that they have no competing interests.
Publisher’s Note
Springer Nature remains neutral with regard to jurisdictional claims in published maps and institutional affiliations.
Figures
 
              
              
              
              
                
                
                 
              
              
              
              
                
                
                 
              
              
              
              
                
                
                 
              
              
              
              
                
                
                References
Publication types
MeSH terms
Substances
Grants and funding
LinkOut - more resources
- Full Text Sources
- Other Literature Sources
- Medical
- Research Materials
 
        