Atrial Myxoma Mimicking Mitral Stenosis
- PMID: 28725330
- PMCID: PMC5505297
- DOI: 10.14740/cr558w
Atrial Myxoma Mimicking Mitral Stenosis
Abstract
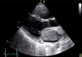
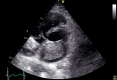
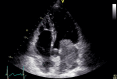
Myxoma is the most common primary cardiac tumor and is usually located in the left atrium. Clinical manifestation relies in large part on the size, location, and architecture of the tumor. There are many reports in the literature of cardiac myxomas causing syncope, embolism, even myocardial infarction. We present a rare case of a patient who underwent urgent surgical resection of a large left atrial myxoma mimicking mitral stenosis. The postoperative course of the patient was uncomplicated. One year after surgery, the patient is asymptomatic and disease-free.
Keywords: Cardiac tumors; Mitral stenosis; Myxoma.
Conflict of interest statement
All authors have contributed and approved the final version of this manuscript. No author has any conflict of interest to disclose.
Figures




References
Publication types
LinkOut - more resources
Full Text Sources
Other Literature Sources