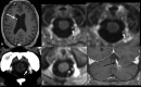
Imaging Findings of Benign Enhancing Foramen Magnum Lesions
- PMID: 28729295
- PMCID: PMC7963571
- DOI: 10.3174/ajnr.A5330
Imaging Findings of Benign Enhancing Foramen Magnum Lesions
Figures

Comment on
-
Benign Enhancing Foramen Magnum Lesions: Clinical Report of a Newly Recognized Entity.AJNR Am J Neuroradiol. 2017 Apr;38(4):721-725. doi: 10.3174/ajnr.A5085. Epub 2017 Feb 2. AJNR Am J Neuroradiol. 2017. PMID: 28154124 Free PMC article.
References
Publication types
MeSH terms
LinkOut - more resources
Full Text Sources
Other Literature Sources