A rare case of iron-pill induced gastritis in a female teenager: A case report and a review of the literature
- PMID: 28746201
- PMCID: PMC5627827
- DOI: 10.1097/MD.0000000000007550
A rare case of iron-pill induced gastritis in a female teenager: A case report and a review of the literature
Abstract
Rationale: The treatment of iron-deficiency anemia with oral iron supplements can present side-effects on the GI tract mucosa including necrosis, ulceration, or ischemia. The particular endoscopic findings and the histopathological exam will establish the diagnosis of erosive gastritis with iron deposits in the gastric mucosa.
Patient concerns: We present the case of a 14-year-old female admitted in our clinic for upper digestive hemorrhage, nausea, melena, and abdominal pain. Her personal history revealed iron deficiency anemia receiving oral iron supplements for approximately 2 weeks.
Diagnosis: The laboratory tests at the moment of admission pointed out anemia, increased level of serum iron, increased liver transaminases, a decreased level of ferritin, but with normal levels of both total iron-binding capacity and transferrin.
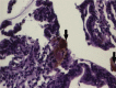
Interventions: The eso-gastro-duodenoscopy revealed multiple brown deposits on the surface of the gastric mucosa and multiple hemorrhagic lesions, under the aspect of erosions all over the gastric mucosa, but more severe in the antral part, and the histopathological exam confirmed the presence of iron deposits at this level.
Conclusion: Iron-pill induced gastritis is a rare, under-diagnosed entity that can be present even at pediatric ages with potential severe clinical impact.
Conflict of interest statement
The authors have no funding and conflicts of interest to disclose.
Figures
References
-
- Dohil R, Hassal E. Gastritis, gastropathy and ulcer disease. Pediatric Gastrointestinal and Liver Disease 2006;Philadelphia: Elsevier, 373–407.
-
- WHO | Worldwide prevalence on anaemia 1993–2005. WHO. Available at: http://www.who.int/vmnis/anaemia/prevalence/en/. Accessed April 9, 2017.
-
- Ji H, Yardley JH. Iron medication-associated gastric mucosal injury. Arch Pathol Lab Med 2004;128:821–2. - PubMed
-
- Abraham SC, Yardley JH, Wu TT. Erosive injury to the upper gastrointestinal tract in patients receiving iron medication: an underrecognized entity. Am J Surg Pathol 1999;23:1241–7. - PubMed
Publication types
MeSH terms
Substances
LinkOut - more resources
Full Text Sources
Other Literature Sources
Medical
