Atrio-Esophageal Fistula: A Case Series and Literature Review
- PMID: 28761039
- PMCID: PMC5551930
- DOI: 10.12659/ajcr.903966
Atrio-Esophageal Fistula: A Case Series and Literature Review
Abstract
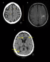
BACKGROUND Percutaneous catheter radiofrequency ablation (RFA) and cryoablation of the left atrium and pulmonary vein ostia have become successful therapeutic modalities in the management of atrial fibrillation. Atrio-esophageal fistula is a rare complication. Awareness of complication risk is imperative because without prompt diagnosis and urgent surgical intervention, the outcome is often fatal. We present 3 cases of atrio-esophageal fistula following percutaneous catheter radiofrequency ablation (RFA). CASE REPORT Case 1: A 72-year old white male presented 27 days after percutaneous RFA for atrial fibrillation with fever, altered mental status, and melena. Esophagogastroduodenoscopy (EGD) revealed a 1-cm defect in the mid-esophagus. Upon thoracotomy, severe hemorrhage ensued from a concomitant injury to the left atrium. Multiple attempts to repair the left atrial perforation were unsuccessful and the patient died. Case 2: A 71-year old white male presented 29 days after percutaneous RFA for atrial fibrillation with fever and tonic-clonic seizure. Recognition of possible atrio-esophageal fistula was considered and confirmed on thoracotomy. Surgical fixation of the left atria and esophagus were performed. The patient survived and was discharged to a skilled care facility. Case 3: A 75-year old white male presented 24 days after percutaneous RFA for atrial fibrillation with chest pain. An echocardiogram revealed a large pericardial effusion and pericardiocentesis was performed. Despite aggressive measures, the patient died. The autopsy demonstrated a communicating esophageal fistula with the right pulmonary vein. CONCLUSIONS Clinicians tending to patients who have recently undergone atrial ablation need to be aware of atrio-esophageal fistula as a rare but highly fatal complication.
Conflict of interest statement
Figures
References
-
- Miyasaka Y, Barnes MF, Gersh BJ, et al. Secular trends in incidence of atrial fibrillation in Olmsted County, Minnesota, 1980 to 2000, and implications on the projections for future prevalence. Circulation. 2006;114(2):119–25. - PubMed
-
- Cappato R, Calkins H, Cen SA, et al. Prevalence and causes of fatal outcome in catheter ablation of atrial fibrillation. Am Coll Cardiol. 2009;53(19):1798–803. - PubMed
Publication types
MeSH terms
LinkOut - more resources
Full Text Sources
Medical
