Position of Subcutaneous Implantable Cardioverter-Defibrillators and Possible Interference on Myocardial Perfusion Imaging
- PMID: 28761406
- PMCID: PMC5505404
- DOI: 10.14503/THIJ-16-5921
Position of Subcutaneous Implantable Cardioverter-Defibrillators and Possible Interference on Myocardial Perfusion Imaging
Abstract
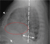
Implanted cardioverter-defibrillators can prevent sudden cardiac death in at-risk patients. In comparison with conventional transvenous systems, entirely subcutaneous implantable cardioverter-defibrillators have produced similar reductions in the rate of sudden cardiac death but with fewer sequelae. An infrequently reported drawback of subcutaneous devices, however, is the potential for generating attenuation artifact during nuclear myocardial perfusion imaging. We had concerns about potential attenuation artifact in a 65-year-old man with coronary artery disease but found that having positioned the pulse generator in the midaxillary zone avoided problems.
Keywords: Arrhythmias, cardiac/therapy; artifacts; coronary artery disease/diagnostic imaging; death, sudden, cardiac/prevention & control; defibrillators, implantable; equipment safety; myocardial perfusion imaging/methods.
Figures
References
-
- Weiss R, Knight BP, Gold MR, Leon AR, Herre JM, Hood M, . et al. Safety and efficacy of a totally subcutaneous implantable-cardioverter defibrillator. Circulation 2013; 128 9: 944– 53. - PubMed
-
- Burke MC, Gold MR, Knight BP, Barr CS, Theuns DA, Boersma LV, . et al. Safety and efficacy of the totally subcutaneous implantable defibrillator: 2-year results from a pooled analysis of the IDE study and EFFORTLESS registry. J Am Coll Cardiol 2015; 65 16: 1605– 15. - PubMed
-
- Rowley CP, Gold MR.. Subcutaneous implantable cardioverter defibrillator. Circulation Arrhythm Electrophysiol 2012; 5 3: 587– 93. - PubMed
-
- Katz JS, Rajper N, Giedd KN.. SPECT attenuation artifact in a patient with a subcutaneous implantable cardioverter-defibrillator. J Nucl Cardiol 2015; 22 6: 1326– 8. - PubMed
Publication types
MeSH terms
LinkOut - more resources
Full Text Sources
Other Literature Sources
Medical
