Aneurysmal Degeneration of the Brachial Artery after Vascular Access Creation: Surgical Treatment Results
- PMID: 28804237
- PMCID: PMC5552899
- DOI: 10.1055/s-0037-1601872
Aneurysmal Degeneration of the Brachial Artery after Vascular Access Creation: Surgical Treatment Results
Abstract
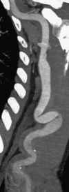
True peripheral artery aneurysms proximal to a longstanding arteriovenous fistula is a well-recognized complication. Late aneurysmal degeneration is rare. This study analyzed the characteristics, therapeutic options, and outcomes of true donor brachial artery aneurysms (DBAA) after arteriovenous fistula (AVF) for hemodialysis. We retrospectively collected the data of patients with DBAA after AVF creation, surgically repaired between January 2001 and September 2015. We excluded patients with pseudoaneurysms, anastomotic aneurysms, and infected aneurysms. We recorded patient's demographics, type of access, aneurysm characteristics, symptoms, treatment, and follow-up. Ten patients were treated for aneurysmal degeneration of the brachial artery. Average aneurysm diameter was 37.5 mm. All cases had, at least, one previous distal AVF, ligated or thrombosed, at the time of diagnosis. The first access was created in mean 137 months before the diagnosis of DBAA. Nine patients had previous medical history of renal transplant and were under immunosuppressive therapy. All patients were symptomatic at the time of diagnosis. In all cases, the treatment was aneurysmectomy followed by interposition bypass. One patient developed a postoperative hematoma with the need of surgical drainage. At 50 months of follow-up, one patient was submitted to percutaneous angioplasty due to an anastomotic stenosis. No other complications occurred during the entire follow-up period (mean: 69 months). The pathogenesis underlying DBAA remains unclear. Increased blood flow after AVF creation, immunosuppressive therapy, and ligation/thrombosis of the AVF may contribute to aneurysm formation. Surgical treatment by aneurysmectomy and bypass, with autogenous conducts, is a safe and effective option.
Keywords: aneurysm; arteriovenous fistula; brachial artery; brachial artery aneurysm; fistula; hemodialysis; vascular access.
Figures
References
-
- Gilmore J. KDOQI clinical practice guidelines and clinical practice recommendations--2006 updates. Nephrol Nurs J. 2006;33(05):487–488. - PubMed
-
- Vascular Access Work Group.Clinical practice guidelines for vascular access Am J Kidney Dis 200648(Suppl 1):S248–S273. - PubMed
-
- Hunter W. The history of an aneurysm of the aorta with some remarks on aneurysms in general. Trans Med Obstet Soc Phys Lond. 1757;1:323.
-
- Marzelle J, Gashi V, Nguyen H D, Mouton A, Becquemin J P, Bourquelot P. Aneurysmal degeneration of the donor artery after vascular access. J Vasc Surg. 2012;55(04):1052–1057. - PubMed
-
- Chemla E, Nortley M, Morsy M. Brachial artery aneurysms associated with arteriovenous access for hemodialysis. Semin Dial. 2010;23(04):440–444. - PubMed
LinkOut - more resources
Full Text Sources
Other Literature Sources
