Pneumomediastinum and Mediastinal Hematoma Secondary to Right Brachiocephalic Vein Thrombectomy Mimicking STEMI
- PMID: 28804656
- PMCID: PMC5540391
- DOI: 10.1155/2017/2796568
Pneumomediastinum and Mediastinal Hematoma Secondary to Right Brachiocephalic Vein Thrombectomy Mimicking STEMI
Abstract
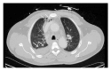
A 50-year-old male with a history of hemodialysis dependent chronic kidney disease presented to our emergency department with acute midsternal crushing chest pain. Patient was diagnosed with acute anterolateral wall Myocardial Infraction due to the presence of corresponding ST segment elevations in EKG and underwent emergent cardiac catheterization which revealed normal patent coronaries without any disease. He continued to have chest pain for which CT of the chest was done which revealed pneumomediastinum with mediastinal hematoma, due to the recent attempted thrombectomy for thrombus in his right brachiocephalic vein.
Figures
References
-
- Widimsky P., Stellova B., Groch L., et al. Prevalence of normal coronary angiography in the acute phase of suspected ST-elevation myocardial infarction: experience from the PRAGUE studies. Canadian Journal of Cardiology. 2006;22(13):1147–1152. doi: 10.1016/s0828-282x(06)70952-7. - DOI - PMC - PubMed
-
- Brywczynski J., McKinney J., Brown A., Slovis C. Discerning STEMI mimics in the field. Journal of Emergency Medical Services. 2013;38(12) - PubMed
-
- Sin W. C., Kwong J. M., Wong T. C. L., Kwong C., Chan C., Siu C. W. Post-operative ST-segment elevation: not a blocked coronary artery, then what? Cardiology Plus. 2016;1(1):45–46. - PubMed
Publication types
LinkOut - more resources
Full Text Sources
Other Literature Sources
