Herpes Simplex Virus Hepatitis: A Presentation of Multi-Institutional Cases to Promote Early Diagnosis and Management of the Disease
- PMID: 28835860
- PMCID: PMC5556611
- DOI: 10.1155/2017/3180984
Herpes Simplex Virus Hepatitis: A Presentation of Multi-Institutional Cases to Promote Early Diagnosis and Management of the Disease
Abstract
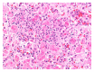
Objective: To compare three cases of Herpes simplex virus (HSV) hepatitis to increase early diagnosis of the disease. Case 1. A 23-year-old man with Crohn's disease and oral HSV. HSV hepatitis was diagnosed clinically and he improved with acyclovir. Case 2. An 18-year-old G1P0 woman with transaminitis. Despite early empiric acyclovir therapy, she died due to fulminant liver failure. Case 3. A 65-year-old woman who developed transaminitis after liver transplant. Diagnosis was confirmed by biopsy and she had resolution of acute liver failure with acyclovir.
Conclusion: It is imperative that clinicians be aware of patients at high risk for developing HSV hepatitis to increase timely diagnosis and prevent morbidity and fatality.
Figures
References
-
- Ergle K., Caruso L., Burt M., Desai B., Patel R. Herpes simplex virus (HSV) in the differential for fulminant hepatic failure. Case Reports in Clinical Medicine. 2015;4(2):63–68. doi: 10.4236/crcm.2015.42015. - DOI
Publication types
LinkOut - more resources
Full Text Sources
Other Literature Sources
