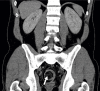
Colonic Intussusception Caused by Colonic Lipoma
- PMID: 28868473
- PMCID: PMC5579883
- DOI: 10.1016/j.jpge.2016.04.004
Colonic Intussusception Caused by Colonic Lipoma
Keywords: Colonic Diseases; Colonic Neoplasms; Intussusception/etiology; Lipoma/complications.
Figures




References
-
- Vecchio R., Ferrara M., Mosca F., Ignoto A., Latteri F. Lipomas of the large bowel. Eur J Surg. 1996;162:915–919. - PubMed
-
- Michowitz M., Lazebnick N., Noy S., Lazebnik R. Lipoma of the colon. A report of 22 cases. Am Surg. 1985;51:449–454. - PubMed
-
- Huh K.C., Lee T.H., Kim S.M., Im E.H., Choi Y.W., Kim B.K. Intussuscepted sigmoid colonic lipoma mimicking carcinoma. Dig Dis Sci. 2006;51:791–795. - PubMed
-
- Ponte A., Pinho R., Vale S., Fernandes C., Ribeiro I., Silva J. Resection of a large ileal lipoma exhibiting ball-valve prolapse into the cecum with a grasp-to-retract, ligate, unroof, and let-go technique. Endoscopy. 2015;47:E215–E216. - PubMed
LinkOut - more resources
Full Text Sources
Other Literature Sources