MAML2 Rearrangements in Variant Forms of Mucoepidermoid Carcinoma: Ancillary Diagnostic Testing for the Ciliated and Warthin-like Variants
- PMID: 28877061
- PMCID: PMC5730480
- DOI: 10.1097/PAS.0000000000000932
MAML2 Rearrangements in Variant Forms of Mucoepidermoid Carcinoma: Ancillary Diagnostic Testing for the Ciliated and Warthin-like Variants
Abstract
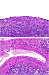
Mucoepidermoid carcinoma (MEC) is the most common salivary gland malignancy. Recent studies have shown that most MECs harbor gene fusions involving MAML2-an alteration that appears to be specific for MEC, a finding that could be diagnostically useful. While most cases of MEC are histologically straightforward, uncommon variants can cause considerable diagnostic difficulty. We present 2 variants of MEC for which MAML2 studies were crucial in establishing a diagnosis: a previously undescribed ciliated variant, and the recently described Warthin-like variant. All cases of ciliated and Warthin-like MEC were retrieved from the archives of The Johns Hopkins Hospital. Break-apart fluorescence in situ hybridization for MAML2 was performed on all cases. One ciliated MEC and 6 Warthin-like MECs were identified. The ciliated MEC presented as a 4.6 cm cystic lymph node metastasis originating from the tongue base in a 47-year-old woman. The Warthin-like MECs presented as parotid masses ranging in size from 1.2 to 3.3 (mean, 2.7 cm) in 4 women and 2 men. The ciliated MEC consisted of macrocystic spaces punctuated by tubulopapillary proliferations of squamoid cells and ciliated columnar cells. The Warthin-like MECs were comprised of cystic spaces lined by multilayered oncocytic to squamoid cells surrounded by a circumscribed cuff of lymphoid tissue with germinal centers. In these cases, the Warthin-like areas dominated the histologic picture. Conventional MEC, when present, represented a minor tumor component. MAML2 rearrangements were identified in all cases. Warthin-like MEC, and now a ciliated form of MEC, are newly described variants of a common salivary gland carcinoma. Unfamiliarity with these novel forms, unanticipated cellular features (eg, cilia), and morphologic overlap with mundane benign processes (eg, developmental ciliated cysts, Warthin tumor) or other carcinomas (eg, ciliated human papillomavirus-related carcinoma) may render these variants susceptible to misdiagnosis. These unusual variants appear to consistently harbor MAML2 fusions-a finding that establishes a clear link to conventional MEC and provides a valuable adjunct in establishing the diagnosis.
Figures
References
-
- Behboudi A, Enlund F, Winnes M, et al. Molecular classification of mucoepidermoid carcinomas-prognostic significance of the MECT1-MAML2 fusion oncogene. Genes, chromosomes & cancer. 2006;45:470–481. - PubMed
-
- Chiosea SI, Dacic S, Nikiforova MN, et al. Prospective testing of mucoepidermoid carcinoma for the MAML2 translocation: clinical implications. Laryngoscope. 2012;122:1690–1694. - PubMed
-
- Seethala RR, Dacic S, Cieply K, et al. A reappraisal of the MECT1/MAML2 translocation in salivary mucoepidermoid carcinomas. Am J Surg Pathol. 2010;34:1106–1121. - PubMed
-
- Garcia JJ, Hunt JL, Weinreb I, et al. Fluorescence in situ hybridization for detection of MAML2 rearrangements in oncocytic mucoepidermoid carcinomas: utility as a diagnostic test. Hum Pathol. 2011;42:2001–2009. - PubMed
-
- Okabe M, Miyabe S, Nagatsuka H, et al. MECT1-MAML2 fusion transcript defines a favorable subset of mucoepidermoid carcinoma. Clinical cancer research : an official journal of the American Association for Cancer Research. 2006;12:3902–3907. - PubMed
MeSH terms
Substances
Grants and funding
LinkOut - more resources
Full Text Sources
Other Literature Sources
Medical
