Idiopathic Intracranial Hypertension: Prognostic Factors and Multidisciplinary Management
- PMID: 28884026
- PMCID: PMC5572623
- DOI: 10.1155/2017/5348928
Idiopathic Intracranial Hypertension: Prognostic Factors and Multidisciplinary Management
Abstract
Background: Idiopathic intracranial hypertension (IIH) mostly affects young obese women and can lead to permanent visual impairment. However, prognostic factors and therapeutic strategy remain unclear.
Methods: We retrospectively collected data from all patients diagnosed and managed for IIH in our university center from January 2001 to December 2016.
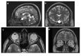
Results: Seventy-nine patients were diagnosed with IIH. Bilateral transverse sinus stenosis (TSS) was found in 74% of the population. Visual outcome at 6 months was poor for 46% of patients, including all patients presenting weight gain of at least 5% since diagnosis (p < 0.001), whereas mean body mass index at diagnosis was not different between patients with poor versus good outcome (32.9 ± 7.7 versus 34.6 ± 9.4 kg·m-2). Other significant factors of poor prognosis were bilateral TSS (OR = 5.2; 95 CI: 1.24-24.9; p = 0.024). Thirteen patients with poor outcome after 6-month assessment underwent unilateral TSS stenting leading to visual improvement in 11 cases.
Conclusion: Weight gain, rather than initial weight, emerged as the leading factor of poor visual outcome in patients with IIH, followed by presence of bilateral TSS. Consequently, first-line treatment must include dietary measures to control weight. Unilateral stenting appears to be a safe second-line treatment option for patients with bilateral TSS.
Figures
References
Publication types
MeSH terms
LinkOut - more resources
Full Text Sources
Other Literature Sources
Medical
