Coexistence of Multiple Sclerosis and Brain Tumor: An Uncommon Diagnostic Challenge
- PMID: 28900612
- PMCID: PMC5583647
- DOI: 10.4103/abr.abr_625_13
Coexistence of Multiple Sclerosis and Brain Tumor: An Uncommon Diagnostic Challenge
Abstract
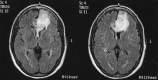
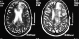
Nonneoplastic demyelinating processes of the brain with mass effect on magnetic resonance imaging can cause diagnostic difficulties. It requires differential diagnosis between the tumefactive demyelinating lesion and the coexistence of neoplasm. We document the case of 41-year-old woman with clinical and radiological findings suggestive of multiple sclerosis. Additional investigations confirmed the coexistence of astrocytoma. This report emphasizes the importance of considering brain tumors in the differential diagnosis of primary demyelinating disease presenting with a cerebral mass lesion.
Keywords: Astrocytoma; brain tumor; multiple sclerosis.
Conflict of interest statement
There are no conflicts of interest.
Figures



References
-
- Peterson JW, Trapp BD. Neuropathobiology of multiple sclerosis. Neurol Clin. 2005;23:107. - PubMed
-
- Al-Bunyan MA. Tumor-like presentation of multiple sclerosis. Saudi Med J. 2000;21:393–5. - PubMed
-
- Barkhof F, Rocca M, Francis G, Van Waesberghe JH, Uitdehaag BM, Hommes OR, et al. Validation of diagnostic magnetic resonance imaging criteria for multiple sclerosis and response to interferon beta1a. Ann Neurol. 2003;53:718–24. - PubMed
-
- Masdeu JC, Quinto C, Olivera C, Tenner M, Leslie D, Visintainer P. Open-ring imaging sign: Highly specific for atypical brain demyelination. Neurology. 2000;54:1427–33. - PubMed
Publication types
LinkOut - more resources
Full Text Sources
Other Literature Sources