Loss of Gas6 and Axl signaling results in extensive axonal damage, motor deficits, prolonged neuroinflammation, and less remyelination following cuprizone exposure
- PMID: 28925029
- PMCID: PMC5643251
- DOI: 10.1002/glia.23214
Loss of Gas6 and Axl signaling results in extensive axonal damage, motor deficits, prolonged neuroinflammation, and less remyelination following cuprizone exposure
Abstract
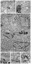
The TAM (Tyro3, Axl, and MerTK) family of receptor tyrosine kinases (RTKs) and their ligands, Gas6 and ProS1, are important for innate immune responses and central nervous system (CNS) homeostasis. While only Gas6 directly activates Axl, ProS1 activation of Tyro3/MerTK can indirectly activate Axl through receptor heterodimerization. Therefore, we generated Gas6-/- Axl-/- double knockout (DKO) mice to specifically examine the contribution of this signaling axis while retaining ProS1 signaling through Tyro3 and MerTK. We found that naïve young adult DKO and WT mice have comparable myelination and equal numbers of axons and oligodendrocytes in the corpus callosum. Using the cuprizone model of demyelination/remyelination, transmission electron microscopy revealed extensive axonal swellings containing autophagolysosomes and multivesicular bodies, and fewer myelinated axons in brains of DKO mice at 3-weeks recovery from a 6-week cuprizone diet. Analysis of immunofluorescent staining demonstrated more SMI32+ and APP+ axons and less myelin in the DKO mice. There were no significant differences in the number of GFAP+ astrocytes or Iba1+ microglia/macrophages between the groups of mice. However, at 6-weeks cuprizone and recovery, DKO mice had increased proinflammatory cytokine and altered suppressor of cytokine signaling (SOCS) mRNA expression supporting a role for Gas6-Axl signaling in proinflammatory cytokine suppression. Significant motor deficits in DKO mice relative to WT mice on cuprizone were also observed. These data suggest that Gas6-Axl signaling plays an important role in maintaining axonal integrity and regulating and reducing CNS inflammation that cannot be compensated for by ProS1/Tyro3/MerTK signaling.
Keywords: TAM signaling; axonal damage; demyelination; motor deficits; neuroinflammation.
© 2017 Wiley Periodicals, Inc.
Figures
References
-
- Akkermann R, Aprico A, Perera AA, et al. The TAM receptor Tyro3 regulates myelination in the central nervous system. Glia. 2017;65(4):581–591. - PubMed
-
- Arnett HA, Fancy SP, Alberta JA, et al. bHLH Transcription Factor Olig1 Is Required to Repair Demyelinated Lesions in the CNS. Science. 2004;306(5704):2111–2115. - PubMed
-
- Arnett HA, Mason J, Marino M, et al. TNF alpha promotes proliferation of oligodendrocyte progenitors and remyelination. Nat Neurosci. 2001;4(11):1116–1122. - PubMed
Publication types
MeSH terms
Substances
Grants and funding
LinkOut - more resources
Full Text Sources
Other Literature Sources
Medical
Molecular Biology Databases
Research Materials
Miscellaneous
