Long Standing Esophageal Perforation due to Foreign Body Impaction in Children: A Therapeutic Challenge in a Resource Limited Setting
- PMID: 28929005
- PMCID: PMC5591923
- DOI: 10.1155/2017/9208474
Long Standing Esophageal Perforation due to Foreign Body Impaction in Children: A Therapeutic Challenge in a Resource Limited Setting
Abstract
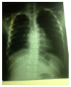
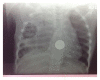
Late presentation of foreign body impaction in the esophagus, complicated by perforation in children, has rarely been reported in the literature. Esophageal surgery is very difficult and challenging in Cameroon (a resource limited setting). We are reporting herein 2 cases of esophageal perforation in children seen very late (12 days and 40 days) after foreign body impaction, complicated with severe sepsis, who were successfully operated upon with very good results.
Figures
References
Publication types
LinkOut - more resources
Full Text Sources
Other Literature Sources
