Unilateral adrenal mass as the sole initial manifestation of differentiated thyroid cancer
- PMID: 28954751
- PMCID: PMC5747805
- DOI: 10.1136/bcr-2017-221296
Unilateral adrenal mass as the sole initial manifestation of differentiated thyroid cancer
Abstract
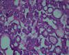
Unilateral adrenal metastases without disseminated disease has rarely been reported in differentiated thyroid carcinoma (DTC). A 72-year-old female presented with vague abdominal discomfort and loss of appetite of 2 months duration. She had undergone left hemithyroidectomy for a benign thyroid nodule 18 years ago. A contrast CT of the abdomen showed a large left adrenal mass measuring 11×9 cm, suspicious of adrenocortical carcinoma. Hormonal evaluation was in keeping with a non-functional tumour. The patient underwent left adrenalectomy, histopathology of which revealed metastatic well-differentiated thyroid carcinoma. Ultrasound of thyroid done postoperatively showed a subcentimetric hypoechoic lesion with increased vascularity and microcalcifications in the right thyroid bed. Histopathology from a completion thyroidectomy specimen was consistent with follicular variant of papillary thyroid carcinoma. She was treated with high-dose radioiodine ablation therapy and has remained disease-free on follow-up for more than a year.
Keywords: endocrine cancer; thyroid disease.
© BMJ Publishing Group Ltd (unless otherwise stated in the text of the article) 2017. All rights reserved. No commercial use is permitted unless otherwise expressly granted.
Conflict of interest statement
Competing interests: None declared.
Figures





References
Publication types
MeSH terms
Substances
LinkOut - more resources
Full Text Sources
Other Literature Sources
Medical