Skip to main page content
U.S. flag

An official website of the United States government

Dot gov

The .gov means it’s official.
Federal government websites often end in .gov or .mil. Before sharing sensitive information, make sure you’re on a federal government site.

Https

The site is secure.
The https:// ensures that you are connecting to the official website and that any information you provide is encrypted and transmitted securely.

Access keys NCBI Homepage MyNCBI Homepage Main Content Main Navigation
. 2017 Sep 7:8:219.
doi: 10.4103/sni.sni_218_17. eCollection 2017.

Acute vertex epidural hematoma

Affiliations

Acute vertex epidural hematoma

David Ben-Israel et al. Surg Neurol Int. .
No abstract available

PubMed Disclaimer

Conflict of interest statement

There are no conflicts of interest.

Figures

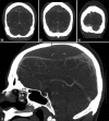
Figure 1
Figure 1
Preoperative noncontrast CT head – (a) coronal cut at the level of the sphenoid sinus, (b) vertex axial cut, (c) mid-sagittal cut, showing a large vertex epidural hematoma with mixed density suggestive of hyperacute hemorrhage, active extravasation and downward herniation. (d) vertex axial cut, bone window, showing coronal suture diastasis
Figure 2
Figure 2
Preoperative CT angiogram head – (a-c) coronal cuts, progressively more posterior, showing downward displacement of the superior sagittal sinus (SSS) with spot signs within the epidural hematoma suggestive of active extravasation. (d) mid-sagittal cut, showing attenuation of the SSS in the posterior frontal region suggesting possible sinus injury or compression
Figure 3
Figure 3
Postoperative CT angiogram head – (a) coronal cut at the level of the sphenoid sinus, (b) mid-sagittal cut, showing evacuation of epidural hematoma, resolution of the downward herniation, and patency of the superior sagittal sinus

References

    1. Behera SK, Senapati SB, Mishra SS, Das S. Management of superior sagittal sinus injury encountered in traumatic head injury patients: Analysis of 15 cases. Asian J Neurosurg. 2015;10:17–20. - PMC - PubMed
    1. Bimpis A, Marcus HJ, Wilson MH. Traumatic bifrontal extradural haematoma resulting from superior sagittal sinus injury: Case report. JRSM Open. 2015;6:2054270415579137. - PMC - PubMed
    1. Datta SGS. Bilateral vertex extradural hematomas: A case report. Indian J Neurotrauma. 2008;5:109–11.
    1. Harbury OL, Provenzale JM, Barboriak DP. Vertex epidural hematomas: Imaging findings and diagnostic pitfalls. Eur J Radiol. 2000;36:150–7. - PubMed
    1. Miller DJ, Steinmetz M, McCutcheon IE. Vertex epidural hematoma: Surgical versus conservative management: Two case reports and review of the literature. Neurosurgery. 1999;45:621. - PubMed

LinkOut - more resources