Resolution of acute hepatitis B-associated aplastic anaemia with antiviral therapy
- PMID: 28974509
- PMCID: PMC5652399
- DOI: 10.1136/bcr-2017-221503
Resolution of acute hepatitis B-associated aplastic anaemia with antiviral therapy
Abstract
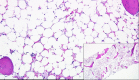
A previously healthy 44-year-old woman presented with 3 days of worsening petechial rash, epistaxis and fatigue. Admission labs revealed pancytopenia, low reticulocyte index and elevated liver enzymes. Bone marrow biopsy demonstrated a profoundly hypocellular bone marrow without dysplasia and additional testing demonstrated an acute hepatitis B infection. In the context of an acute hepatitis B infection, elevated liver enzymes and aplastic anaemia, our patient was diagnosed with severe hepatitis-associated aplastic anaemia due to an acute hepatitis B infection. She was initiated on antiviral therapy with tenofovir and briefly received immunosuppressive therapy with a robust sustained improvement in her blood counts. Acute hepatitis B-associated aplastic anaemia is an exceptionally rare presentation of aplastic anaemia. We present acute hepatitis B-associated aplastic anaemia that resolved with antiviral therapy, which to our knowledge is the second such case reported in the literature and the first using tenofovir.
Keywords: haematology (drugs and medicines); hepatitis (sexual health); hepatitis and other gi infections; hepatitis b; malignant and benign haematology.
© BMJ Publishing Group Ltd (unless otherwise stated in the text of the article) 2017. All rights reserved. No commercial use is permitted unless otherwise expressly granted.
Conflict of interest statement
Competing interests: None declared.
Figures
 
              
              
              
              
                
                
                 
              
              
              
              
                
                
                 
              
              
              
              
                
                
                 
              
              
              
              
                
                
                References
Publication types
MeSH terms
Substances
LinkOut - more resources
- Full Text Sources
- Other Literature Sources
- Medical
 
        