Skip to main page content
U.S. flag

An official website of the United States government

Dot gov

The .gov means it’s official.
Federal government websites often end in .gov or .mil. Before sharing sensitive information, make sure you’re on a federal government site.

Https

The site is secure.
The https:// ensures that you are connecting to the official website and that any information you provide is encrypted and transmitted securely.

Access keys NCBI Homepage MyNCBI Homepage Main Content Main Navigation
Case Reports
. 2017 Oct 4:2017:bcr2017221024.
doi: 10.1136/bcr-2017-221024.

Hydrocele of the canal of Nuck presenting as a sausage-shaped mass

Affiliations
Case Reports

Hydrocele of the canal of Nuck presenting as a sausage-shaped mass

Ana Filipa Ferreira et al. BMJ Case Rep. .

Abstract

A 23-year-old woman presented with a painless vulval swelling. On physical examination, a soft fluctuant sausage-shaped mass was found, measuring approximately 4 cm, extending from the right inguinal region to the labia majora. Ultrasound revealed a well-defined hypoechoic elongated mass, septated, extending from the superficial inguinal canal to labia majora. Sonographic findings were consistent with the diagnosis of a hydrocele of the canal of Nuck. Surgical exploration revealed an elongated cystic lesion with a total length of 13 cm, mucous component and internal septations. Histopathological examination of the surgical specimen confirmed the suspected diagnosis.

Keywords: General Surgery; Obstetrics And Gynaecology; Pathology; Radiology.

PubMed Disclaimer

Conflict of interest statement

Competing interests: None declared.

Figures

Figure 1
Figure 1
Illustration of the canal of Nuck.
Figure 2
Figure 2
Swelling of the right labia majora.
Figure 3
Figure 3
Longitudinal ultrasonographic image using high frequency transvaginal transducer (5–12 MHz), showing a well-defined hypoechoic elongated cyst with 5.5 cm of long axis with septations.
Figure 4
Figure 4
Intraoperative photograph. Surgery revealed a cystic lesion with mucous component and a smooth internal surface with septations.
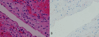
Figure 5
Figure 5
Microscopic aspect of the lesion. (A) The cyst was lined with a single layer of flat cells, without atypia. Underlying this layer was a dense collagenous fibrous tissue and a thin band of inflammatory cells, mostly histiocytic cells (H&E 400×). (B) Mesothelium origin of the cells covering the cyst was confirmed by negative immunostaining with BerEp4 (BerEp4 400×).

References

    1. Wei BP, Castles L, Stewart KA. Hydrocele of the canal of Nuck. ANZ J Surg 2002;72:603–5. 10.1046/j.1445-2197.2002.02466.x - DOI - PubMed
    1. Heer J, McPheeters R, Atwell AE, et al. . Hydrocele of the canal of Nuck. West J Emerg Med 2015;16:786–7. 10.5811/westjem.2015.6.27582 - DOI - PMC - PubMed
    1. Kono R, Terasaki H, Murakami N, et al. . Hydrocele of the canal of Nuck: a case report with magnetic resonance hydrography findings. Surg Case Rep 2015;1:86 10.1186/s40792-015-0086-5 - DOI - PMC - PubMed
    1. Matsumoto T, Hara T, Hirashita T, et al. . Laparoscopic diagnosis and treatment of a hydrocele of the canal of Nuck extending in the retroperitoneal space: a case report. Int J Surg Case Rep 2014;5:861–4. 10.1016/j.ijscr.2014.08.016 - DOI - PMC - PubMed
    1. Pandey A, Jain S, Verma A, et al. . Hydrocele of the canal of Nuck – rare differential for vulval swelling. Indian J Radiol Imaging 2014;24:175–7. 10.4103/0971-3026.134408 - DOI - PMC - PubMed

Publication types