A rare case of CD1a-negative Langerhans cell histiocytosis of the central nervous system in a child
- PMID: 29026568
- PMCID: PMC5628212
- DOI: 10.1002/ccr3.1136
A rare case of CD1a-negative Langerhans cell histiocytosis of the central nervous system in a child
Abstract
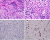
Langerhans cell histiocytosis is a dendritic cell disorder with a wide spectrum of severity and presentations. Histopathology typically demonstrates a proliferation of Langerhans cells and a lymphohistiocytic inflammatory infiltrate with eosinophils. The diagnosis is supported by immunohistochemistry with the cell markers S100, CD1a, CD68, and Langerin [Blood, 126, 2015, 26 and N Engl J Med, 331, 1994, 154].
Keywords: Basal ganglia; CD1a; Langerhans cell histiocytosis; S100; dendritic cell disorder; diabetes insipidus.
Figures
References
-
- Lau, S. K. , Chu P. G., and Weiss L. M.. 2008. Immunohistochemical expression of Langerin in Langerhans cell histiocytosis and non‐Langerhans cell histiocytic disorders. Am. J. Surg. Pathol. 32:615–619. - PubMed
-
- Willman, C. L. , Busque L., Griffith B. B., Favara B. E., Mcclain K. L., Duncan M. H., et al. 1994. Langerhans’‐cell histiocytosis (Histiocytosis X) – a clonal proliferative disease. N. Engl. J. Med. 331:154–160. - PubMed
Publication types
LinkOut - more resources
Full Text Sources
Other Literature Sources
