Legionnaires' Disease Outbreak Caused by Endemic Strain of Legionella pneumophila, New York, New York, USA, 2015
- PMID: 29047425
- PMCID: PMC5652421
- DOI: 10.3201/eid2311.170308
Legionnaires' Disease Outbreak Caused by Endemic Strain of Legionella pneumophila, New York, New York, USA, 2015
Abstract
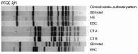
During the summer of 2015, New York, New York, USA, had one of the largest and deadliest outbreaks of Legionnaires' disease in the history of the United States. A total of 138 cases and 16 deaths were linked to a single cooling tower in the South Bronx. Analysis of environmental samples and clinical isolates showed that sporadic cases of legionellosis before, during, and after the outbreak could be traced to a slowly evolving, single-ancestor strain. Detection of an ostensibly virulent Legionella strain endemic to the Bronx community suggests potential risk for future cases of legionellosis in the area. The genetic homogeneity of the Legionella population in this area might complicate investigations and interpretations of future outbreaks of Legionnaires' disease.
Keywords: Bronx; Legionella; Legionella pneumophila; Legionnaires’ disease; New York; New York City; PCR; United States; bacteria; cooling towers; endemic strain; legionellosis; outbreak; outbreak investigation; pulsed-field gel electrophoresis; water; whole-genome sequencing.
Figures




References
-
- World Health Organization (WHO). Legionellosis, fact sheet no. Nov 2014. [cited 2017 Jul 20]. http://www.who.int/mediacentre/factsheets/fs285/en/
MeSH terms
Substances
Grants and funding
LinkOut - more resources
Full Text Sources
Other Literature Sources
Medical
Molecular Biology Databases