Skip to main page content
U.S. flag

An official website of the United States government

Dot gov

The .gov means it’s official.
Federal government websites often end in .gov or .mil. Before sharing sensitive information, make sure you’re on a federal government site.

Https

The site is secure.
The https:// ensures that you are connecting to the official website and that any information you provide is encrypted and transmitted securely.

Access keys NCBI Homepage MyNCBI Homepage Main Content Main Navigation
. 2018 Jul;10(7):629-633.
doi: 10.1136/neurintsurg-2017-013287. Epub 2017 Oct 20.

Treatment of recurrent aneurysms using the Woven EndoBridge (WEB): anatomical and clinical results

Affiliations

Treatment of recurrent aneurysms using the Woven EndoBridge (WEB): anatomical and clinical results

Matthias Gawlitza et al. J Neurointerv Surg. 2018 Jul.

Abstract

Background: The safety and efficacy of the Woven EndoBridge (WEB) for the treatment of naïve intracranial aneurysms has been confirmed.

Purpose: To analyze the safety and efficacy of the WEB in the treatment of recurrent aneurysms.

Methods: Anatomical and clinical results in consecutive patients with a recurrent aneurysm, who were treated using the WEB device in two French neurointerventional centers, were evaluated.

Results: Seventeen patients with 17 aneurysms were included. Treatment was feasible in 16 patients. In seven patients (41.2%), ancillary devices were used. Permanent morbidity due to a thromboembolic complication occurred in one patient (5.9%). There was no mortality. Follow-up angiographic studies were available for 15 patients after a mean of 12.1±6.1 months. Rates of complete occlusion, neck remnant, and aneurysm remnant were 33.3%, 40.0%, and 26.7%, respectively.

Conclusions: Treatment of recurrent aneurysms using the WEB device may be reasonably safe and effective.

Keywords: aneurysm; device; intervention; material; technique.

PubMed Disclaimer

Conflict of interest statement

Competing interests: CC: Consultancy of Sequent Medical, MicroVention, Stryker and Codman. LP: Consultancy of Sequent Medical, MicroVention, Neuravi, Penumbra, Balt.

Figures

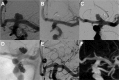
Figure 1
Figure 1
Unruptured aneurysm of the left internal carotid artery (ICA) terminus (A), treated by coiling (B). About 14 years later, a large recurrence (C) was treated using a WEB SL (D). Control DSA (E) including 3D DSA (F with metal subtraction) after 11 months confirms complete occlusion. Note a second aneurysm of the intracranial ICA with stable occlusion after the initial endovascular treatment.
Figure 2
Figure 2
Ruptured aneurysm (A) of the basilar apex that was treated with a WEB DL device in the acute phase. The profile projection in (B) depicts the device with contrast stasis in the mesh. The final result was a small neck remnant (C). A constantly growing aneurysm recurrence. (D) was treated 40 months later using a WEB SL device (E). For protection of the right P1 segment a self-expanding stent (Enterprise 4×16 mm) was placed. Follow-up after 7 months shows a small neck remnant (F).
Figure 3
Figure 3
Unruptured aneurysm of the basilar artery at the ostium of the left superior cerebellar artery (A). In a first session, the aneurysm was treated with the remodeling, resulting in complete occlusion (B). A growing aneurysm recurrence (C) was treated 13 months after the initial intervention by placing a WEB SL device (D). A late phase control run depicted a slowed down intra-aneurysmal blood circulation (E). Six-month DSA follow-up shows a neck remnant (F).

References

    1. Ferns SP, Sprengers ME, van Rooij WJ, et al. . Coiling of intracranial aneurysms: a systematic review on initial occlusion and reopening and retreatment rates. Stroke 2009;40:e523–9. 10.1161/STROKEAHA.109.553099 - DOI - PubMed
    1. Tsutsumi K, Ueki K, Morita A, et al. . Risk of aneurysm recurrence in patients with clipped cerebral aneurysms. Stroke 2001;32:1191–4. - PubMed
    1. Daugherty WP, Rad AE, White JB, et al. . Observer agreement regarding the necessity of retreatment of previously coiled recurrent cerebral aneurysms. AJNR Am J Neuroradiol 2011;32:566–9. 10.3174/ajnr.A2336 - DOI - PMC - PubMed
    1. Dorfer C, Gruber A, Standhardt H, et al. . Management of residual and recurrent aneurysms after initial endovascular treatment. Neurosurgery 2012;70:537–54. 10.1227/NEU.0b013e3182350da5 - DOI - PubMed
    1. Henkes H, Fischer S, Liebig T, et al. . Repeated endovascular coil occlusion in 350 of 2759 intracranial aneurysms: safety and effectiveness aspects. Neurosurgery 2006;58:224–32. 10.1227/01.NEU.0000194831.54183.3F - DOI - PubMed

MeSH terms