Angiocrine Wnt signaling controls liver growth and metabolic maturation in mice
- PMID: 29059455
- PMCID: PMC6099291
- DOI: 10.1002/hep.29613
Angiocrine Wnt signaling controls liver growth and metabolic maturation in mice
Abstract
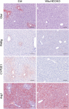
Postnatal liver development is characterized by hepatocyte growth, proliferation, and functional maturation. Notably, canonical Wnt signaling in hepatocytes has been identified as an important regulator of final adult liver size and metabolic liver zonation. The cellular origin of Wnt ligands responsible for homeostatic liver/body weight ratio (LW/BW) remained unclear, which was also attributable to a lack of suitable endothelial Cre driver mice. To comprehensively analyze the effects of hepatic angiocrine Wnt signaling on liver development and metabolic functions, we used endothelial subtype-specific Stab2-Cre driver mice to delete Wls from hepatic endothelial cells (HECs). The resultant Stab2-Cretg/wt ;Wlsfl/fl (Wls-HECKO) mice were viable, but showed a significantly reduced LW/BW. Specifically, ablation of angiocrine Wnt signaling impaired metabolic zonation in the liver, as shown by loss of pericentral, β-catenin-dependent target genes such as glutamine synthase (Glul), RhBg, Axin2, and cytochrome P450 2E1, as well as by extended expression of periportal genes such as arginase 1. Furthermore, endothelial subtype-specific expression of a c-terminally YFP-tagged Wls fusion protein in Wls-HECKO mice (Stab2-Cretg/wt ;Wlsfl/fl ;Rosa26:Wls-YFPfl/wt [Wls-rescue]) restored metabolic liver zonation. Interestingly, lipid metabolism was altered in Wls-HECKO mice exhibiting significantly reduced plasma cholesterol levels, while maintaining normal plasma triglyceride and blood glucose concentrations. On the contrary, zonal expression of Endomucin, LYVE1, and other markers of HEC heterogeneity were not altered in Wls-HECKO livers.
Conclusion: Angiocrine Wnt signaling controls liver growth as well as development of metabolic liver zonation in mice, whereas intrahepatic HEC zonation is not affected. (Hepatology 2017).
© 2017 The Authors. Hepatology published by Wiley Periodicals, Inc. on behalf of American Association for the Study of Liver Diseases.
Figures







Comment in
-
Deciphering the Cell-Specific Role of Wnts in the Liver: New Tools for a Difficult Task.Hepatology. 2018 Aug;68(2):412-414. doi: 10.1002/hep.30038. Hepatology. 2018. PMID: 29665091 Free PMC article. No abstract available.
References
-
- Sorensen KK, Simon‐Santamaria J, McCuskey RS, Smedsrod B. Liver sinusoidal endothelial cells. Compr Physiol 2015;5:1751‐1774. - PubMed
Publication types
MeSH terms
Substances
LinkOut - more resources
Full Text Sources
Other Literature Sources
Molecular Biology Databases
Research Materials
Miscellaneous