Familial Multiple Trichodiscomas: Case Report and Concise Review
- PMID: 29067220
- PMCID: PMC5652887
- DOI: 10.7759/cureus.1596
Familial Multiple Trichodiscomas: Case Report and Concise Review
Abstract
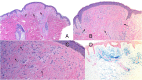
Familial multiple trichodiscomas is a condition characterized by multiple asymptomatic skin papules. The inheritance pattern has not been established. The skin lesions usually appear in childhood. The diagnosis of the cutaneous papules is established by pathologic evaluation. Birt-Hogg-Dubé syndrome is excluded by not detecting any aberration in the folliculin gene locus. Including our patient, 15 index individuals and their families are described. There is no systemic organ involvement or associated malignancies in individuals with this condition.
Keywords: cancer; discoid; familial; fibromas; folliculin; irt-hogg-dubé; multiple; papules; trichodiscoma.
Conflict of interest statement
The authors have declared that no competing interests exist.
Figures


References
-
- Starink TM, Houweling AC, van Doorn MBA, et al. J Am Acad Dermatol. Vol. 66. Feb: 2012. Familial multiple discoid fibromas: a look-alike of Birt-Hogg-Dubé syndrome not linked to the FLCN locus; p. 259. - PubMed
-
- Birt-Hogg-Dubé syndrome: a review of dermatological manifestations and other symptoms. Tong Y, Schneider JA, Coda AB, et al. Am J Clin Dermatol. 2017:1–15. - PubMed
-
- Starink TM, Kisch LS, Meijer CJ. Arch Dermatol. Vol. 121. Jul: 1985. Familial multiple trichodiscomas. A clinicopathologic study; pp. 888–891. - PubMed
-
- Familial multiple trichodiscomas. Balus L, Crovato F, Breathnach AS. J Am Acad Dermatol. 1986;15:603–607. - PubMed
-
- [Multiple familial trichodiscoma] (article in Spanish) Alsina MM, Ferrando J, Bombi JA, et al. Med Cutan Ibero Lat Am. 1990;18:30–34. - PubMed
Publication types
LinkOut - more resources
Full Text Sources
Other Literature Sources