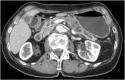
Pancreatic Metastases of Rectal Cancer-Case Report and Literature Review
- PMID: 29071587
- PMCID: PMC6499740
- DOI: 10.1007/s12029-017-0016-9
Pancreatic Metastases of Rectal Cancer-Case Report and Literature Review
Conflict of interest statement
The authors declare that have no conflict of interest.
Figures





References
-
- Wideł MS, Wideł M. Mechanisms of metastasis and molecular markers of malignant tumour progression. I. Colorectal cancer. [in Polish] Postepy Hig Med Dosw. 2006;60:453–470. - PubMed
Publication types
MeSH terms
Substances
LinkOut - more resources
Full Text Sources
Other Literature Sources
Medical