An Overlooked Potentially Treatable Disorder: Idiopathic Mesenteric Panniculitis
- PMID: 29073610
- PMCID: PMC5848480
- DOI: 10.1159/000484605
An Overlooked Potentially Treatable Disorder: Idiopathic Mesenteric Panniculitis
Abstract
Objective: The aim of this study was to determine the prevalence of mesenteric panniculitis (MP) and to describe its clinical characteristics, therapy, and outcome.
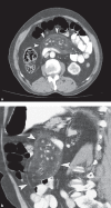
Subjects and methods: This retrospective study was carried out among patients with MP based on computed tomography (CT) scans from January 2012 to December 2015. The CT images were reanalyzed by study radiologists to confirm the previous MP diagnosis. Patients were divided into 2 groups, i.e., idiopathic and secondary, based on the presence or absence of associated predisposing factors such as trauma, malignancy, autoimmune disorders, ischemia, or previous abdominal surgery. The clinical characteristics of the 2 groups, as well as treatments, were assessed.
Results: Among the 19,869 CT scans, 36 patients (0.18%) with MP were identified (i.e., 19 [53%] females and 17 [47%] males). The median age was 54 years (range 26 - 76). Twenty-four patients (67%) were categorized into the idiopathic group. Malignancy was the predisposing factor in 8 (22%) of those patients. Furthermore, abdominal pain was the cardinal symptom observed in 22 patients (92%) in the idiopathic group. In the idiopathic group, 15 patients (63%) were treated with antibiotics and 16 (67%) were treated with nonsteroidal anti-inflammatory drugs (NSAID). One unresponsive patient was treated with colchicine. Symptomatic relief was achieved in all of the treated patients.
Conclusion: In this study, a symptomatic idiopathic subgroup of patients with MP did not have any associated disorder. The response to treatment with antibiotics and NSAID was effective in most of the patients. Based on these findings, anti-inflammatory treatments beyond NSAID and surgery should be reserved for patients who are unresponsive to antibiotics and NSAID.
Keywords: Antibiotics; Idiopathic mesenteric panniculitis; Nonsteroidal anti-inflammatory drugs; Treatment.
© 2017 The Author(s) Published by S. Karger AG, Basel.
Figures

References
-
- Coulier B. Mesenteric panniculitis. Part 1: MDCT – pictorial review. JBR-BTR. 2011;94:229–240. - PubMed
-
- Badet N, Sailley N, Briquez C, et al. Mesenteric panniculitis: still an ambiguous condition. Diagn Interv Imaging. 2015;96:251–257. - PubMed
-
- Emory TS, Monihan JM, Carr NJ, et al. Sclerosing mesenteritis, mesenteric panniculitis and mesenteric lipodystrophy: a single entity? Am J Surg Pathol. 1997;21:392–398. - PubMed
-
- Horton KM, Lawler LP, Fishman EK. CT findings in sclerosing mesenteritis (panniculitis): spectrum of disease. Radiographics. 2003;23:1561–1567. - PubMed
-
- Coulier B. Mesenteric panniculitis. Part 2: prevalence and natural course: MDCT prospective study. JBR-BTR. 2011;94:241–246. - PubMed
MeSH terms
Substances
LinkOut - more resources
Full Text Sources
Other Literature Sources