Xanthogranulomatous Pyelonephritis with Incomplete Double Ureter
- PMID: 29075296
- PMCID: PMC5624154
- DOI: 10.1155/2017/2392670
Xanthogranulomatous Pyelonephritis with Incomplete Double Ureter
Abstract
Introduction: Xanthogranulomatous pyelonephritis (XGP) is a type of chronic renal inflammation that usually occurs in immunocompromised middle-aged women with chronic urinary tract infection or ureteral obstruction induced by the formation of ureteral stones. XGP with an incomplete double ureter is extremely rare.
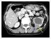
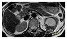
Case presentation: A 76-year-old woman was referred to our department to undergo further examination for a left renal tumor that was detected by ultrasonography. Dynamic contrast computed tomography (CT) revealed an enhanced tumor in the upper renal parenchyma. Laparoscopic radical nephrectomy was performed based on a preoperative diagnosis of renal cell carcinoma. Histological sections showed the aggregation of foam cells; thus, XGP was diagnosed.
Conclusion: We herein report a rare case of XGP in the upper pole of the kidney, which might have been associated with an incomplete double ureter.
Figures
 
              
              
              
              
                
                
                 
              
              
              
              
                
                
                 
              
              
              
              
                
                
                 
              
              
              
              
                
                
                References
- 
    - Parsons M. A., Harris S. C., Longstaff A. J., Grainger R. G. Xanthogranulomatous pyelonephritis: a pathological, clinical and aetiological analysis of 87 cases. Diagn Histopathol. 1983;6(3-4):203–219. - PubMed
 
- 
    - Kanayama H.-O., Fukumori T., Fujimoto H., et al. Clinicopathological characteristics and oncological outcomes in patients with renal cell carcinoma registered in 2007: the first large-scale multicenter study from the Cancer Registration Committee of the Japanese Urological Association. International Journal of Urology. 2015;22(9):S1–S7. doi: 10.1111/iju.12826. - DOI - PubMed
 
Publication types
LinkOut - more resources
- Full Text Sources
- Other Literature Sources
 
        