Endovascular treatment of ruptured pancreaticoduodenal artery aneurysm: The importance of collateral vessels. A case report
- PMID: 29096344
- PMCID: PMC5686227
- DOI: 10.1016/j.ijscr.2017.10.036
Endovascular treatment of ruptured pancreaticoduodenal artery aneurysm: The importance of collateral vessels. A case report
Abstract
Introduction: True pancreaticoduodenal artery aneurysm occurrence is infrequent, but it is a fatal disease and accounts for accounts for <2% of all visceral aneurysms.
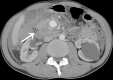
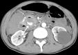
Presentation of case: A 62-year-old man with a two-day history of epigastric pain was admitted at emergency department. CT showed a retroperitoneal haematoma due to a 1.5cm posterior inferior PDA ruptured aneurysm. Angiography had been conducted immediately: both inflow and outflow of the aneurysm were embolized. Another CT scan had been conducted, which revealed residual flow inside the aneurysm sac fed by small collateral vessels. Sub-selective catheterization was repeated and definitive haemostasis was obtained by embolizing the collateral vessels. Postoperative course was uneventful. CT scan follow-up at 36 months showed no abnormalities.
Discussion: The incidence rate of pancreaticoduodenal artery aneurysm rupture has been estimated to be less than or equal to 65%. In the case of rupture the treatment is challenging and mortality had been reported up to 50%. Endovascular treatment showed superior results as compared to surgical treatment of aneurysms, especially in emergency settings.
Conclusion: The authors elucidate the importance of occlusion of inflow and outflow of the aneurysm in conjunction with the occlusion of collateral vessels to avert reperfusion of the sac. Simultaneous handling of celiac axis stenosis is still prone to controversy: no relapse of aneurysm have been reported in patients with celiac axis stenosis at long-term follow-up, simultaneous treatment should be reserved when angiography is alarming for likely hepatic or duodenal ischemia.
Keywords: Aneurysm; Celiac axis stenosis; Pancreaticoduodenal artery; Retroperitoneal haemorrhage; Transcatheter arterial embolization.
Copyright © 2017 The Authors. Published by Elsevier Ltd.. All rights reserved.
Figures




References
-
- Suzuki K., Yasushi T., Ito S., Maruyama K., Mori Y., Komada T., Matsushima M., Ota T., Naganawa S. Endovascular management of ruptured pancreaticoduodenal artery aneurysms associated with celiac axis stenosis. Cardiovasc. Intervent. Radiol. 2008;31:1082–1087. PMID 18414944. - PubMed
-
- Brocker J.A., Maher J.L., Smith R.W. True pancreaticoduodenal aneurysms with celiac stenosis or occlusion. Am. J. Surg. 2012;204:762–768. PMID 22578409. - PubMed
-
- Agha R.A., Fowler A.J., Saetta A., Barai I., Rajmohan S., Orgill D.P., for the SCARE Group The SCARE statement: consensus-based surgical case report guidelines. Int. J. Surg. 2016;34:180–186. - PubMed
LinkOut - more resources
Full Text Sources
Other Literature Sources
Research Materials