Skip to main page content
U.S. flag

An official website of the United States government

Dot gov

The .gov means it’s official.
Federal government websites often end in .gov or .mil. Before sharing sensitive information, make sure you’re on a federal government site.

Https

The site is secure.
The https:// ensures that you are connecting to the official website and that any information you provide is encrypted and transmitted securely.

Access keys NCBI Homepage MyNCBI Homepage Main Content Main Navigation
Review
. 2017 Oct;6(5):530-539.
doi: 10.21037/tlcr.2017.06.12.

Update on large cell neuroendocrine carcinoma

Affiliations
Review

Update on large cell neuroendocrine carcinoma

Kenzo Hiroshima et al. Transl Lung Cancer Res. 2017 Oct.

Abstract

High-grade neuroendocrine carcinomas of the lung are classified into two categories: large cell neuroendocrine carcinoma (LCNEC) and small cell lung carcinoma (SCLC). While typical cases of LCNEC are morphologically distinct from SCLC, the differentiation between LCNEC and SCLC can be challenging in some cases. In fact, there are borderline high-grade neuroendocrine carcinomas that morphologically fall between LCNEC and SCLC. Growing evidence suggests that LCNEC is a histologically and biologically heterogeneous group of tumors. Molecular profiling with next-generation sequencing (NGS) has revealed a few biologically distinct subsets of LCNEC. Of those, the SCLC-like subset is characterized by concurrent inactivating mutations in TP53 and loss of RB1 that are typically seen in SCLC, whereas the non-small cell lung cancer (NSCLC)-like subset frequently harbors molecular alterations that are usually seen in NSCLC. Furthermore, the SCLC-like subset exhibits morphologic features of SCLC, and NSCLC-like morphology predominates in the NSCLC-like subset, although there was a substantial overlap in morphologic features between these subsets. As for the treatment of LCNEC, surgery is advocated for early stage tumors, but surgery alone does not appear to be sufficient and adjuvant chemotherapy, consisting of platinum/etoposide, likely prevents recurrence in patients with completely resected LCNEC. For advanced disease, there have been conflicting reports as to whether LCNEC responds to chemotherapeutic regimens in the similar manner to SCLC rather than NSCLC, and the heterogeneous biology of LCNEC may contribute in part to the discrepant results. A further understanding of the biology of LCNEC will lead to novel approaches to clinical managements of patients with LCNEC.

Keywords: Large cell neuroendocrine carcinoma (LCNEC); molecular alterations; morphology; small cell carcinoma; treatment.

PubMed Disclaimer

Conflict of interest statement

Conflicts of Interest: The authors have no conflicts of interest to declare.

Figures

Figure 1
Figure 1
Large cell neuroendocrine carcinoma (HE, ×20). This tumor has organoid nesting and palisading patterns. Tumor cells have abundant eosinophilic cytoplasm, coarsely granular chromatin, and prominent nucleoli. Necrosis is present.
Figure 2
Figure 2
Small cell lung carcinoma (HE, ×20). Cell size is small. Tumor cells have scant cytoplasm so that the cellularity is high. The nuclei are round or oval. The chromatin of the nucleus is finely granular, and nucleoli are inconspicuous.
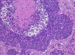
Figure 3
Figure 3
Borderline high-grade neuroendocrine carcinoma (HE, ×20). Cell size is larger than that of small cell lung carcinoma, but smaller than that of large cell neuroendocrine carcinoma. Tumor cells are polygonal and have a moderate amount of cytoplasm. Rosette-like structures are present. The chromatin of the nucleus is finely granular, and nucleoli are seen. Necrosis is present.
Figure 4
Figure 4
LOH by chromosomal regions seen in different categories of high-grade neuroendocrine carcinomas and large cell carcinoma. LOH, loss of heterozygosity; SCLC, small cell lung carcinoma; borderline, borderline high-grade neuroendocrine carcinoma; LCNEC, large cell neuroendocrine carcinoma; LCC, classic large cell carcinoma.

References

    1. George J, Lim JS, Jang SJ, et al. Comprehensive genomic profiles of small cell lung cancer. Nature 2015;524:47-53. 10.1038/nature14664 - DOI - PMC - PubMed
    1. Gosney JR, Williams IJ, Dodson AR, et al. Morphology and antigen expression profile of pulmonary neuroendocrine cells in reactive proliferations and diffuse idiopathic pulmonary neuroendocrine cell hyperplasia (DIPNECH). Histopathology 2011;59:751-62. 10.1111/j.1365-2559.2011.03992.x - DOI - PubMed
    1. Fernandez-Cuesta L, Peifer M, Lu X, et al. Frequent mutations in chromatin-remodelling genes in pulmonary carcinoids. Nat Commun 2014;5:3518. 10.1038/ncomms4518 - DOI - PMC - PubMed
    1. Marchevsky AM, Walts AE. Diffuse idiopathic pulmonary neuroendocrine cell hyperplasia (DIPNECH). Semin Diagn Pathol 2015;32:438-44. 10.1053/j.semdp.2015.08.002 - DOI - PubMed
    1. Sequist LV, Waltman BA, Dias-Santagata D, et al. Genotypic and histological evolution of lung cancers acquiring resistance to EGFR inhibitors. Sci Transl Med 2011;3:75ra26. 10.1126/scitranslmed.3002003 - DOI - PMC - PubMed